초음파로 보는 치료결과
실제 환자의 시술 전후 초음파 영상입니다.
수술 없이 이뤄낸 회복을 직접 확인하세요.
모든 초음파 영상은 실제 환자의 동의를 받아 게시하였습니다. 개인차가 있으며 동일한 결과를 보장하지 않습니다.
등록 수 총 48건


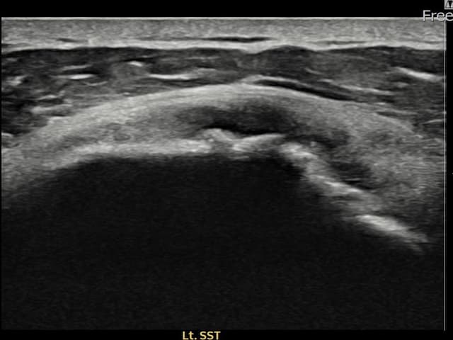
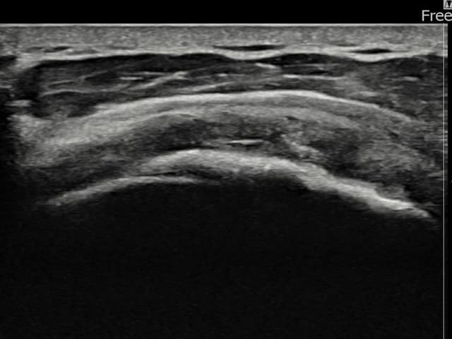
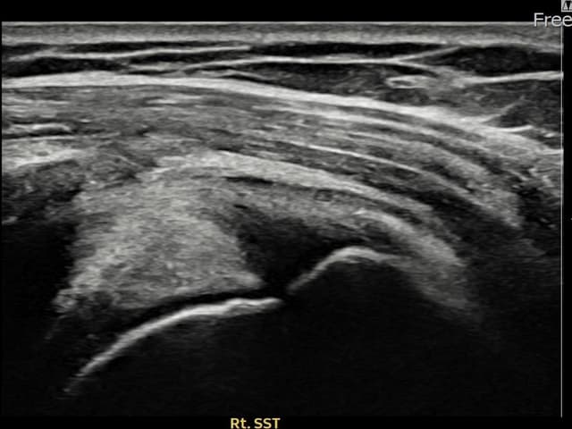
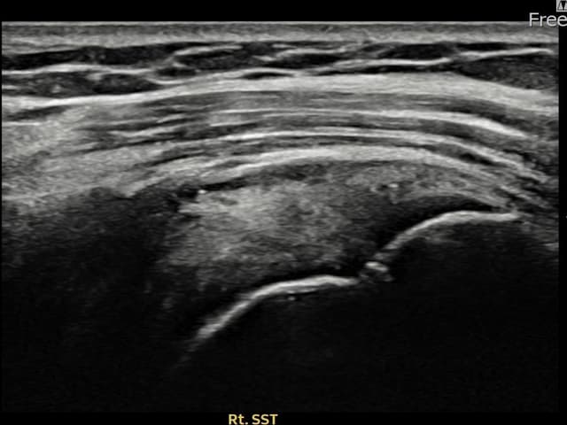
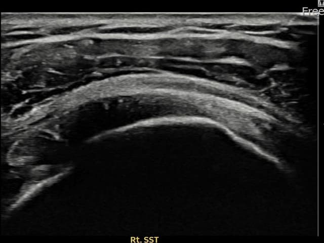
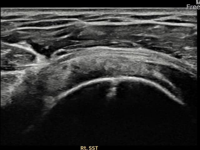
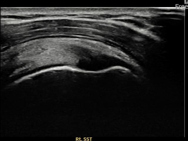
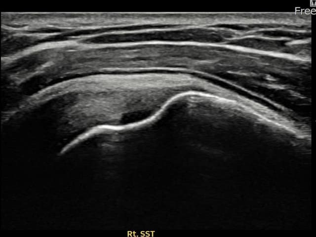
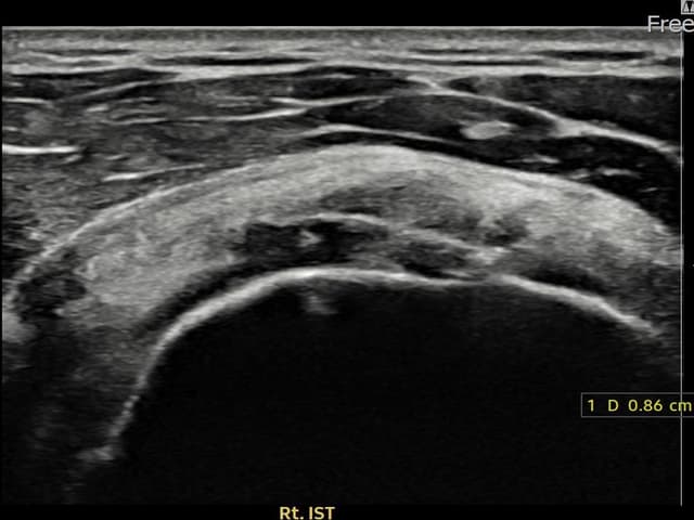
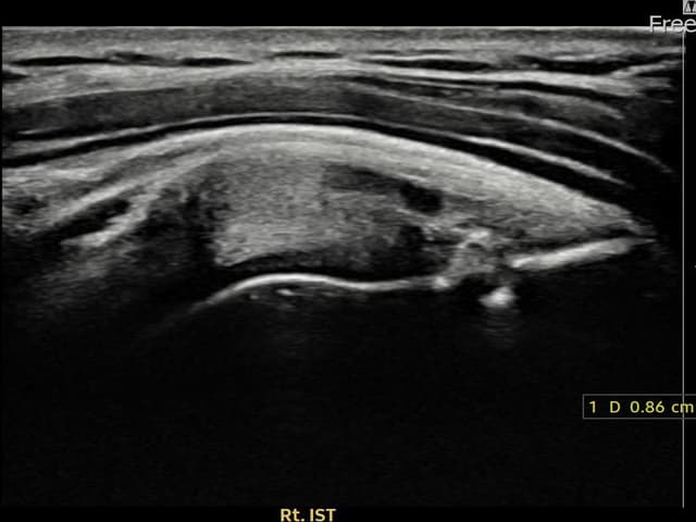
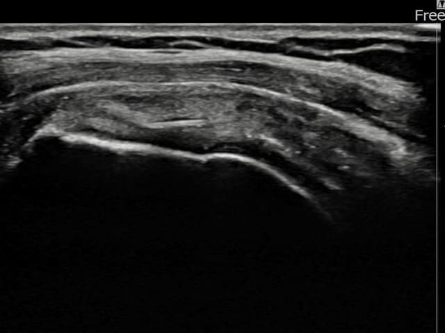
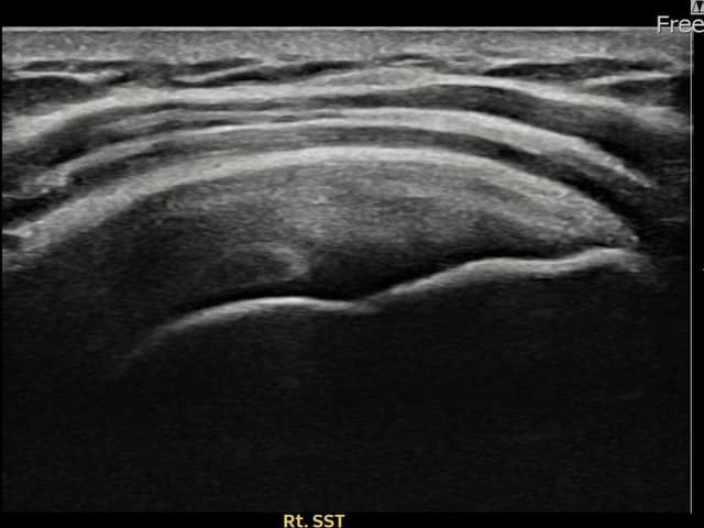
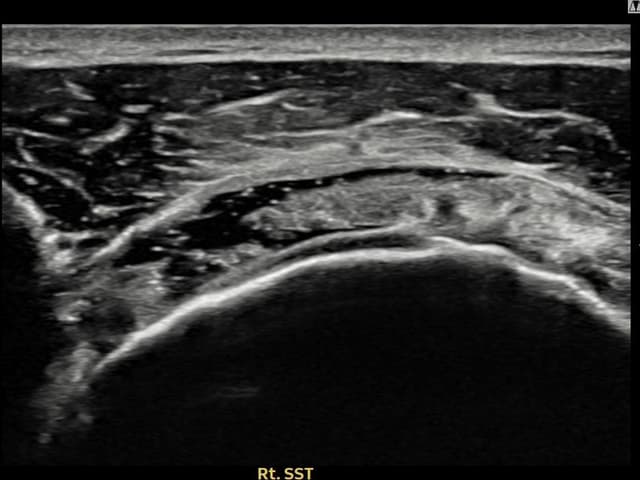
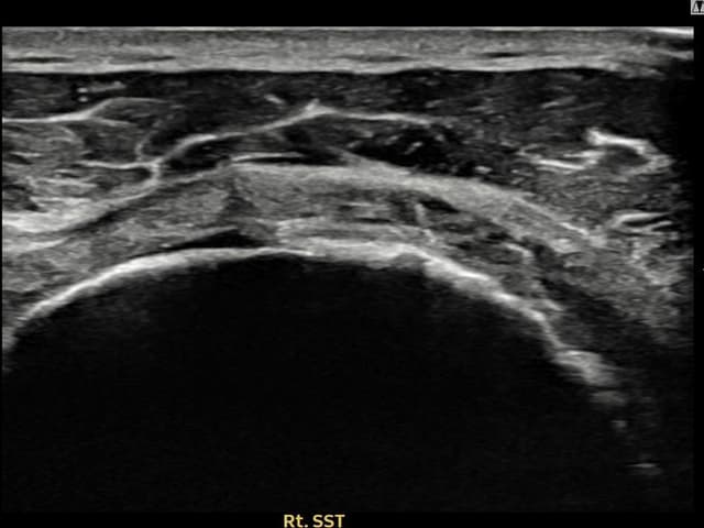
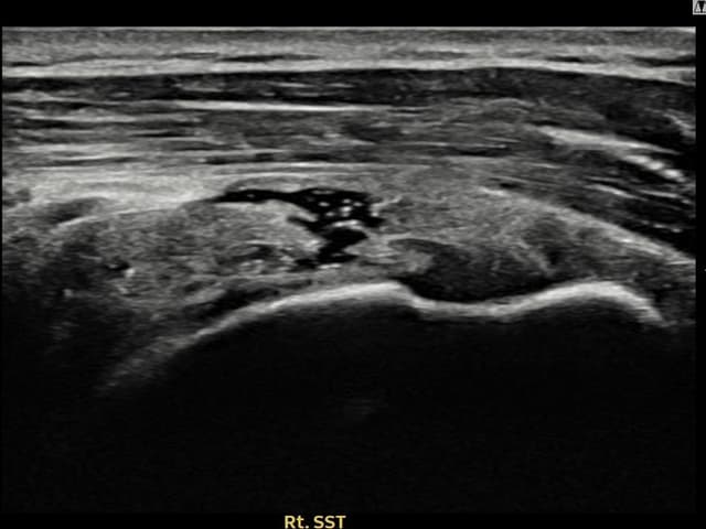
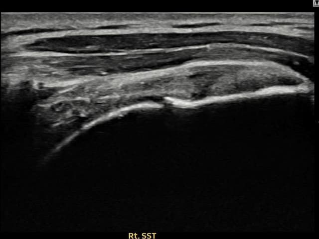
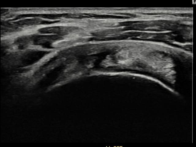
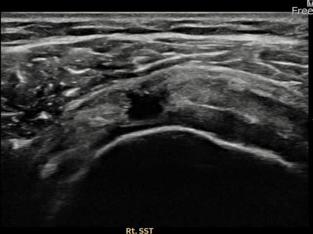
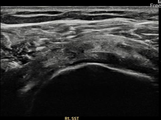
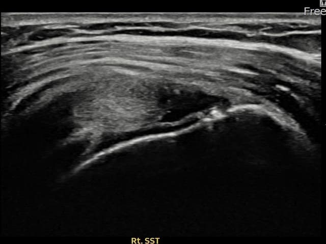
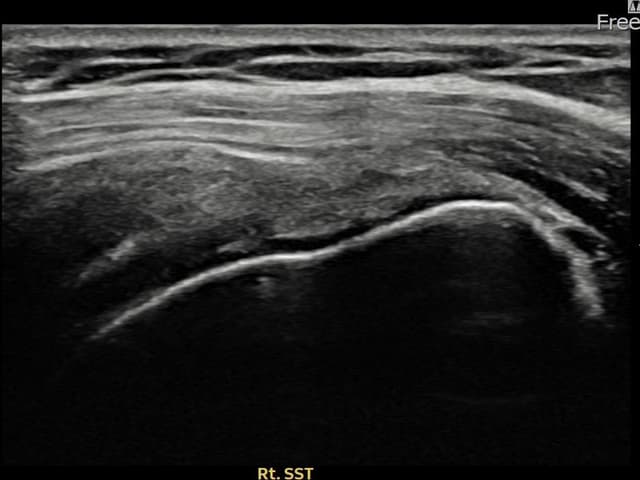
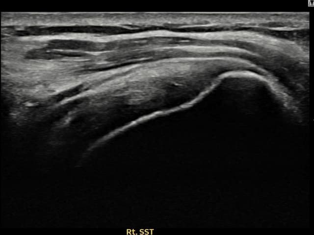
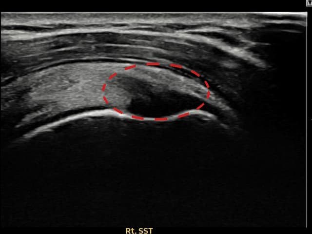
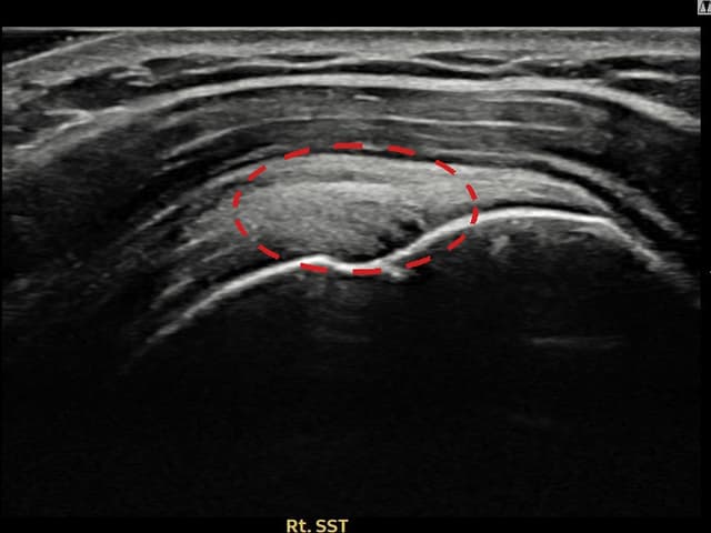
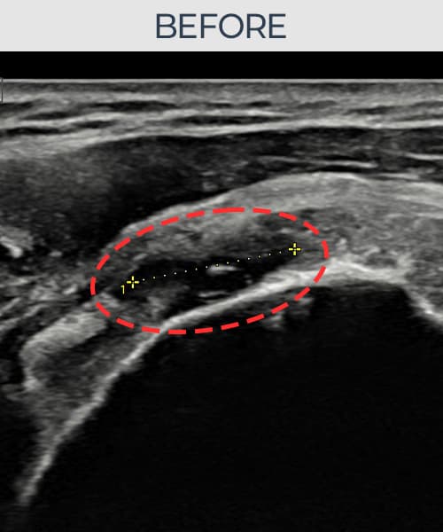
[촬영시기:22.08.10]
[석회분쇄흡입술] 우측 어깨 극심한 야간 통증으로 수면이 불가능해진 50대 여성 환자로, X-ray에서 우측 극상근건 내 석회 침착이 확인되어 석회분쇄흡입술을 시행하였습니다.


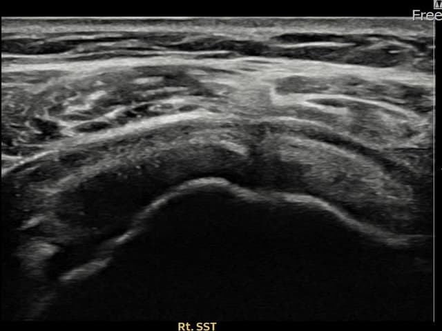
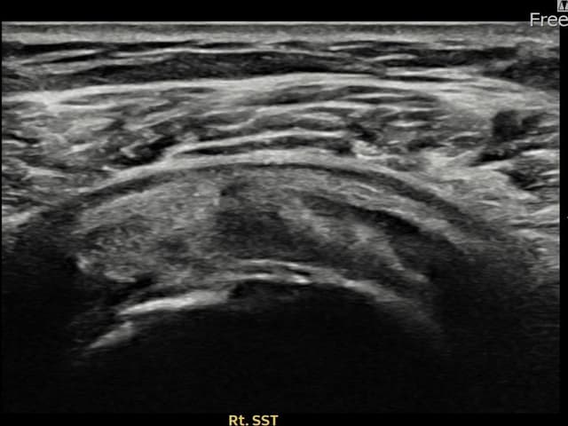
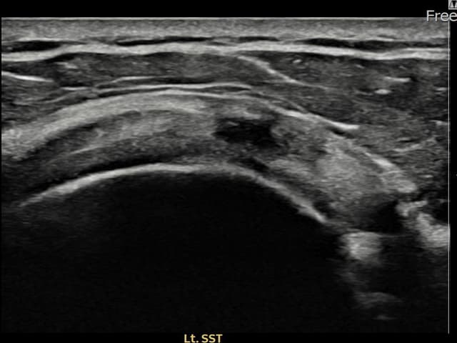
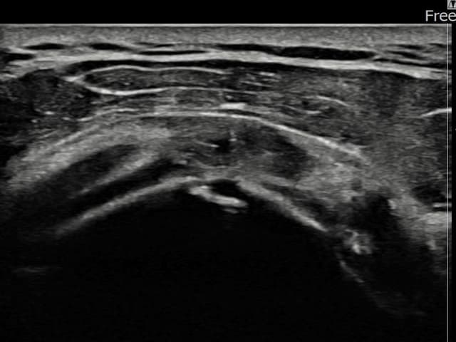
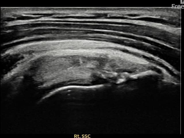
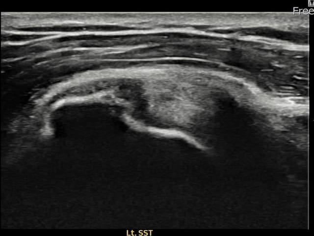
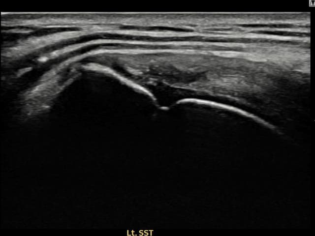
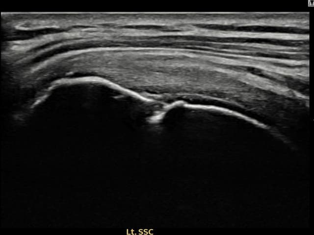
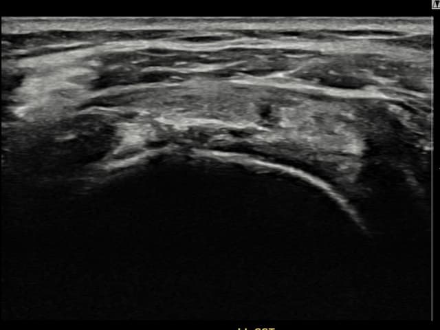
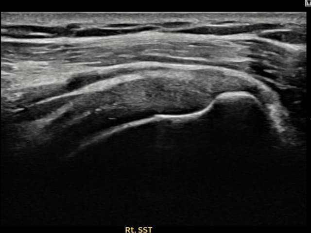
[촬영시기:22.09.06]
[석회분쇄흡입술] 좌측 어깨 통증으로 팔을 옆으로 올리기 어려워진 60대 남성 환자로, X-ray에서 좌측 극상근건 내 석회 침착이 확인되어 석회분쇄흡입술을 시행하였습니다.


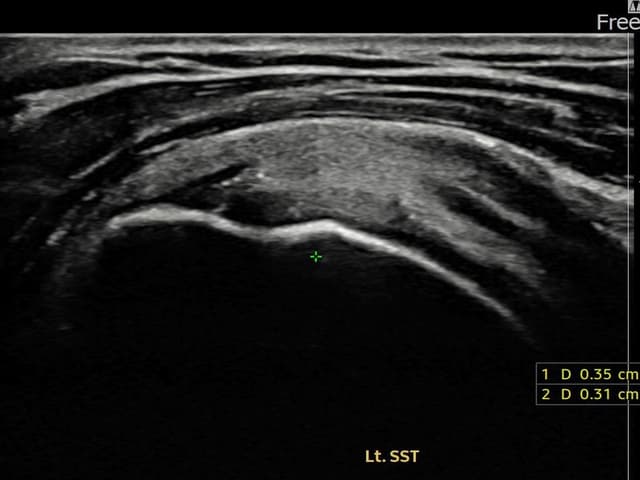
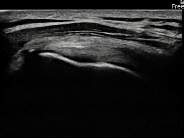
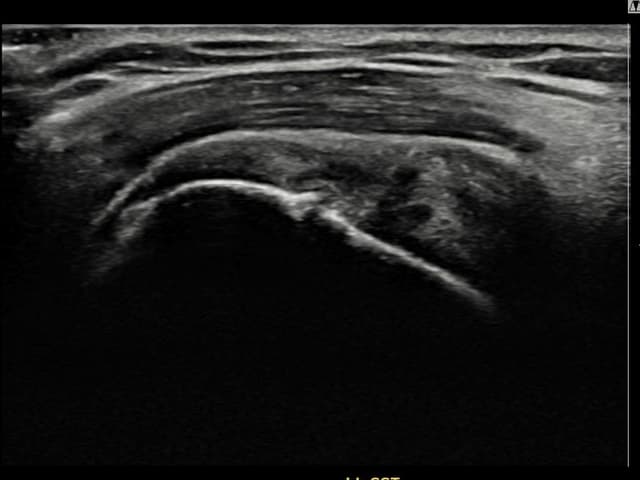
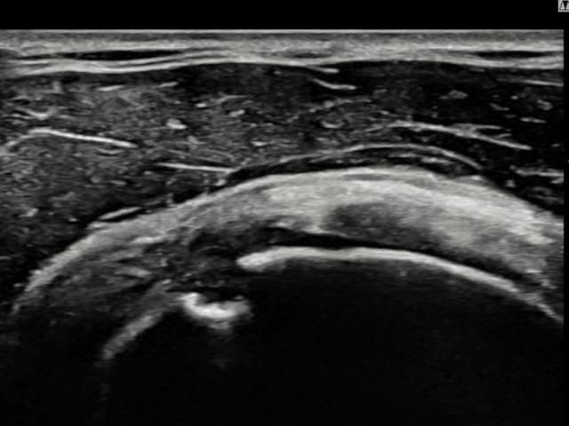
[촬영시기:22.09.28]
[석회분쇄흡입술] 우측 어깨 통증으로 밤잠을 못 이루고 팔을 올리기 어려워진 30대 여성 환자로, X-ray에서 우측 극상근건 내 석회 침착이 확인되어 석회분쇄흡입술을 시행하였습니다.


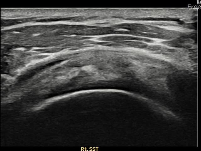
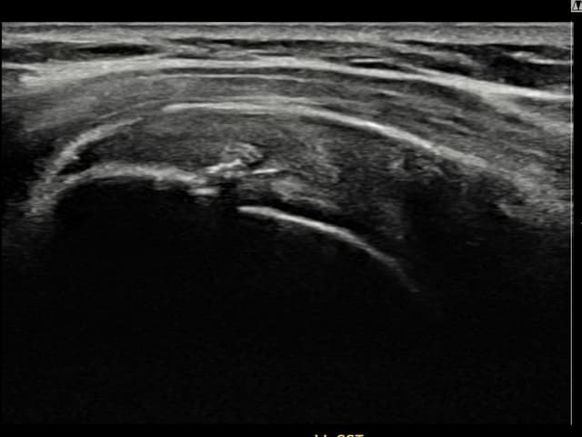
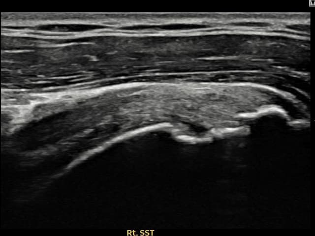
[촬영시기:22.10.18]
[석회분쇄흡입술] 우측 어깨 통증과 운동 제한으로 일상생활이 불편해진 30대 여성 환자로, X-ray에서 우측 극상근건 내 석회 침착이 확인되어 석회분쇄흡입술을 시행하였습니다.


[촬영시기:22.11.07]
[석회분쇄흡입술] 좌측 어깨의 극심한 통증으로 크리스마스에도 쉬지 못할 만큼 일상이 어려워진 50대 여성 환자로, X-ray에서 극상근건 내 석회 침착이 확인되어 석회분쇄흡입술을 시행하였습니다.


[촬영시기:22.11.25]
[석회분쇄흡입술] 좌측 어깨의 극심한 통증으로 야간 수면 장애까지 생긴 40대 여성 환자로, X-ray에서 극상근건 내 석회 침착이 확인되어 석회분쇄흡입술을 시행하였습니다.


[촬영시기:22.12.19]
[석회분쇄흡입술] 우측 어깨 통증으로 수개월간 고통받다 타 병원 치료에도 차도가 없어 내원한 49세 여성 환자로, X-ray에서 극상근건 내 석회 침착이 확인되어 석회분쇄흡입술을 시행하였습니다.


[촬영시기:23.01.10]
[석회분쇄흡입술] 우측 어깨 통증이 3개월 이상 지속되어 생업에 지장이 생긴 남성 환자로, X-ray에서 극상근건 내 석회 침착이 확인되어 석회분쇄흡입술을 시행하였습니다.


[촬영시기:23.01.31]
[석회분쇄흡입술] 좌측 어깨의 극심한 통증으로 팔을 어깨 이상으로 들기도 어려웠던 60대 여성 환자로, X-ray에서 극상근건 내 대량의 석회 침착이 확인되어 석회분쇄흡입술을 시행하였습니다.


[촬영시기:23.02.21]
[석회분쇄흡입술] 우측 어깨의 야간 통증과 운동 제한으로 수개월간 고통받다 내원한 50세 남성 환자로, X-ray에서 극상근건 내 석회 침착이 확인되어 석회분쇄흡입술을 시행하였습니다.


[촬영시기:23.03.14]
[석회분쇄흡입술] 우측 어깨 극심한 야간 통증으로 수면을 이루기 어려웠던 50대 여성 환자로, X-ray에서 극상근건 내 다량의 석회 침착이 확인되어 석회분쇄흡입술을 시행하였습니다.


[촬영시기:23.04.04]
[석회분쇄흡입술] 우측 어깨의 지속적인 야간 통증으로 타 병원 치료에도 호전이 없어 내원한 51세 여성 환자로, X-ray에서 극상근건 내 석회 침착이 확인되어 석회분쇄흡입술을 시행하였습니다.


[촬영시기:23.04.25]
[석회분쇄흡입술] 좌측 어깨의 극심한 야간 통증으로 일상생활에 지장을 받다 내원한 여성 환자로, 석회분쇄흡입술 시행 후 7개 주사기 분량의 석회가 흡입되었습니다.


[촬영시기:23.05.17]
[석회분쇄흡입술] 우측 어깨의 극심한 통증으로 수개월간 고생하다 내원한 남성 환자로, X-ray에서 극상근건 내 석회 침착이 확인되어 석회분쇄흡입술을 시행하였습니다.


[촬영시기:23.06.08]
[석회분쇄흡입술] 우측 어깨 통증이 악화되어 수면 장애까지 생긴 여성 환자로, X-ray에서 극상근건 내 석회 침착이 확인되어 석회분쇄흡입술을 시행하였습니다.


[촬영시기:23.06.29]
[석회분쇄흡입술] 오른쪽 어깨 야간 통증으로 수개월간 고생하다 내원한 여성 환자로, X-ray에서 극상근건 내 석회 침착이 확인되어 석회분쇄흡입술을 시행하였습니다.


[촬영시기:23.07.20]
[석회분쇄흡입술] 우측 어깨의 극심한 야간 통증으로 수개월간 고생하다 내원하셨습니다.


[촬영시기:23.08.24]
[석회분쇄흡입술] 우측 어깨에 수개월간 지속된 극심한 야간 통증으로 내원하셨습니다.


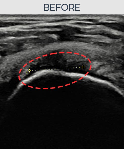
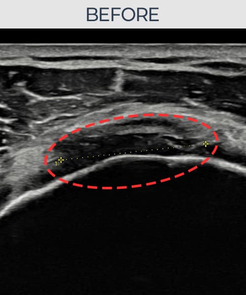
[촬영시기:23.07.18~23.09.14]
[어깨인대 축소봉합술] 좌측 어깨 광범위 파열로 수술을 권유받았으나 비수술 치료를 원해 내원하셨습니다.


[촬영시기:23.07.31~23.09.27]
[어깨인대 축소봉합술] 좌측 어깨 극상근건 광범위 파열로 수개월간 일상생활이 어렵던 중 내원하셨습니다.


[촬영시기:23.08.16~23.10.18]
[어깨인대 축소봉합술] 우측 어깨 통증과 팔을 특정 각도로 올릴 때 심해지는 충돌 증상으로 내원하셨습니다.


[촬영시기:23.09.01~23.11.03]
[어깨인대 축소봉합술] 우측 어깨 통증이 수개월간 지속되어 내원하셨습니다.


[촬영시기:23.09.19~23.11.21]
[어깨인대 축소봉합술] 우측 어깨 통증과 야간 통증으로 수면 장애가 있어 내원하셨습니다.


[촬영시기:23.10.05~23.12.07]
[어깨인대 축소봉합술] 우측 어깨 통증과 팔 들어 올리기 제한으로 내원하셨습니다.


[촬영시기:23.10.23~24.01.04]
[어깨인대 축소봉합술] 좌측 어깨 통증과 팔을 올릴 때 뻐근함이 지속되어 내원하셨습니다.


[촬영시기:23.11.09~24.01.18]
[어깨인대 축소봉합술] 좌측 어깨 부착부 부분파열로 팔을 들어 올릴 때마다 통증이 심해 내원하셨습니다.


[촬영시기:23.11.28~24.02.06]
[어깨인대 축소봉합술] 우측 어깨 후방 통증과 팔을 바깥으로 돌릴 때 통증이 심해 내원하셨습니다.


[촬영시기:23.12.14~24.02.22]
[어깨인대 축소봉합술] 우측 어깨 후방 통증과 외회전 시 심한 통증으로 내원하셨습니다.


[촬영시기:24.01.08~24.03.14]
[어깨인대 축소봉합술] 좌측 어깨 통증으로 팔을 올리기 불편하여 내원하셨습니다.


[촬영시기:24.01.25~24.04.03]
[어깨인대 축소봉합술] 좌측 어깨 부착부 통증과 야간 통증으로 수면 장애가 있어 내원하셨습니다.


[촬영시기:24.02.14~24.04.22]
[어깨인대 축소봉합술] 좌측 어깨 통증이 오래 지속되어 내원하셨습니다.


[촬영시기:24.03.04~24.05.10]
[어깨인대 축소봉합술] 우측 어깨 전방 통증과 팔 내회전 제한으로 내원하셨습니다.


[촬영시기:24.03.21~24.05.29]
[어깨인대 축소봉합술] 우측 어깨 전방 통증과 팔 들어 올리기 어려움으로 내원하셨습니다.


[촬영시기:24.04.09~24.06.17]
[어깨인대 축소봉합술] 좌측 어깨 통증이 수개월째 지속되어 내원하셨습니다.


[촬영시기:24.04.26~24.07.05]
[어깨인대 축소봉합술] 우측 어깨 광범위 파열로 수술을 권유받았으나 비수술 치료를 원해 내원하셨습니다.


[촬영시기:24.05.15~24.07.23]
[어깨인대 축소봉합술] 우측 어깨 야간 통증과 팔 올리기 제한으로 내원하셨습니다.


[촬영시기:24.06.04~24.08.12]
[어깨인대 축소봉합술] 좌측 어깨 광범위 파열로 팔 들어올리기가 매우 어려웠습니다.


[촬영시기:24.06.21~24.08.30]
[어깨인대 축소봉합술] 좌측 어깨 통증으로 팔을 옆으로 들어올리기 어려워 내원하셨습니다.


[촬영시기:24.07.10~24.09.18]
[어깨인대 축소봉합술] 우측 어깨 파열이 진행된 상태로 수술 없이 치료를 원해 내원하셨습니다.


[촬영시기:24.07.29~24.10.07]
[어깨인대 축소봉합술] 우측 어깨 통증으로 수면과 일상 동작이 어려워 내원하셨습니다.


[촬영시기:24.08.19~24.10.28]
[어깨인대 축소봉합술] 우측 어깨 통증이 일상 동작에서 지속되어 내원하셨습니다.


[촬영시기:24.09.05~24.11.14]
[어깨인대 축소봉합술] 우측 어깨 통증으로 팔을 들어올리기 어렵고 취침 시 통증이 심해 내원하셨습니다.


[촬영시기:24.09.23~24.12.03]
[어깨인대 축소봉합술] 우측 어깨 통증과 팔 들어올리기 제한으로 내원하셨습니다.


[촬영시기:24.10.14~24.12.23]
[어깨인대 축소봉합술] 우측 어깨 통증으로 팔을 올리기 어려웠으며, 충격파 치료에 반응이 없어 내원하셨습니다.


[촬영시기:24.11.04~25.01.14]
[어깨인대 축소봉합술] 좌측 어깨 야간 통증이 심하여 수면에 지장이 있었습니다.


[촬영시기:25.03.10~25.06.04]
[어깨인대 축소봉합술] 운동 중 어깨 부상 이후 지속되는 통증으로 내원하셨습니다.


[촬영시기:25.07.02~25.09.24]
[어깨인대 축소봉합술] 가사 노동 중 어깨에 통증이 생겨 점점 악화되었습니다.


[촬영시기:25.10.14~26.01.08]
[어깨인대 축소봉합술] 어깨 통증이 6개월 이상 지속되어 내원하셨습니다.