우측 어깨 후방 통증과 팔을 바깥으로 돌릴 때 통증이 심해 내원하셨습니다.
[촬영시기: 23.11.28~24.02.06]
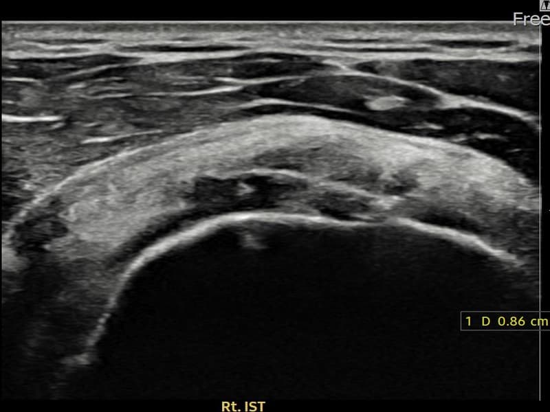
Before


After


치료결과
시술 전 초음파 측정 결과 파열 크기는 7mm × 3mm (힘줄 두께의 약 32% 결손)로 확인되었습니다. 시술 전 초음파에서 우측 극하근건 관절면측의 에코 단절과 힘줄 결손 소견이 확인되었습니다. 시술 후 초음파에서 파열 부위에 재생 조직이 형성되고 힘줄 연속성이 회복된 것이 관찰되었습니다.
담당 의료진 소견
30대 후반 남성 환자분으로, 우측 어깨 후방 통증이 수개월째 지속되어 내원하셨습니다. 팔을 뒤로 젖히거나 외회전할 때 심한 통증이 있어 운동이나 스포츠 활동에 큰 제약이 있으셨습니다. 초음파 검사에서 우측 극하근건 관절면측 부분파열이 확인되었으며, 초음파 유도 하 축소봉합술을 시행하였습니다. 시술 후 보조기 착용과 단계적 재활 운동을 통해 회복을 진행하였고, 시술 11주 후 추적 초음파에서 힘줄 연속성이 회복되고 외회전 기능이 정상화된 것이 확인되어 스포츠 활동에 복귀하셨습니다.
치료 결과 열람은 회원 전용 메뉴입니다
로그인하여 상세한 치료 결과를 확인해 보세요
※ 환자분에게 사전 동의를 받아 동일 조건에서 촬영되었으며, 개인에 따라 치료 후 부작용이 발생할 수도 있으니 사전에 의료진과 상담 후 치료를 진행하시기 바랍니다.