좌측 어깨 야간 통증이 심하여 수면에 지장이 있었습니다.
[촬영시기: 24.11.04~25.01.14]
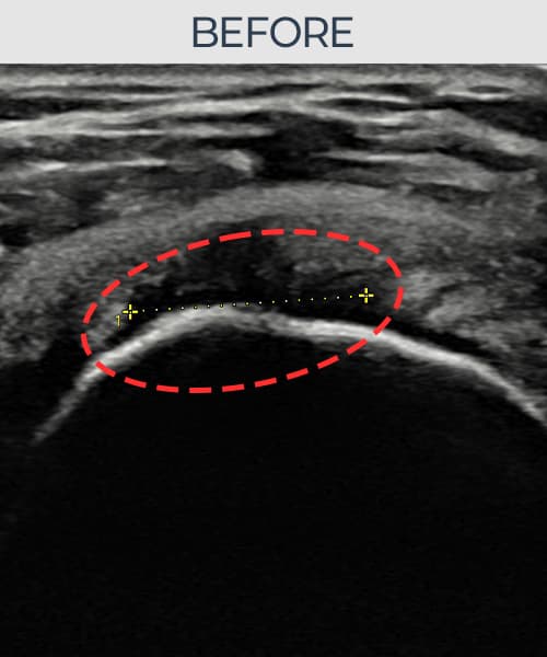
Before


After


치료결과
시술 전 초음파 측정 결과 파열 크기는 9mm × 5mm (힘줄 두께의 약 50% 결손)로 확인되었습니다. 시술 전 초음파에서 관절면측(articular-side) 회전근개의 부분층 파열과 힘줄 내 에코 소실 및 결손 소견이 명확히 관찰되었습니다. 시술 후 초음파에서는 관절면측 힘줄의 연속성이 회복되고 결손 부위가 재생 조직으로 채워진 것이 확인되었습니다.
담당 의료진 소견
60대 후반 여성 환자분으로, 야간 통증이 너무 심해 수개월째 수면제를 복용하고 계셨습니다. 정형외과 두 곳에서 수술을 권유받으셨으나 전신마취와 장기 입원에 대한 부담으로 비수술 치료를 희망하여 내원하셨습니다. 초음파 검사에서 관절면측 회전근개의 부분층 파열이 확인되었으며, 수술 없이 초음파 유도 하 축소봉합술로 인대-뼈 고정이 가능한 케이스로 판단하였습니다. 시술은 30분 이내에 완료되었고 당일 귀가하셨으며, 2주 후 추적 검사에서 봉합 위치가 안정적으로 유지됨을 확인하였습니다. 시술 3개월 후부터 야간 통증이 소실되어 수면제 복용을 중단하셨고, 19개월 경과 관찰에서 힘줄 구조가 완전히 안정화되어 수술 없이 회복에 성공하셨습니다.
치료 결과 열람은 회원 전용 메뉴입니다
로그인하여 상세한 치료 결과를 확인해 보세요
※ 환자분에게 사전 동의를 받아 동일 조건에서 촬영되었으며, 개인에 따라 치료 후 부작용이 발생할 수도 있으니 사전에 의료진과 상담 후 치료를 진행하시기 바랍니다.