좌측 어깨 통증으로 팔을 올리기 불편하여 내원하셨습니다.
[촬영시기: 24.01.08~24.03.14]
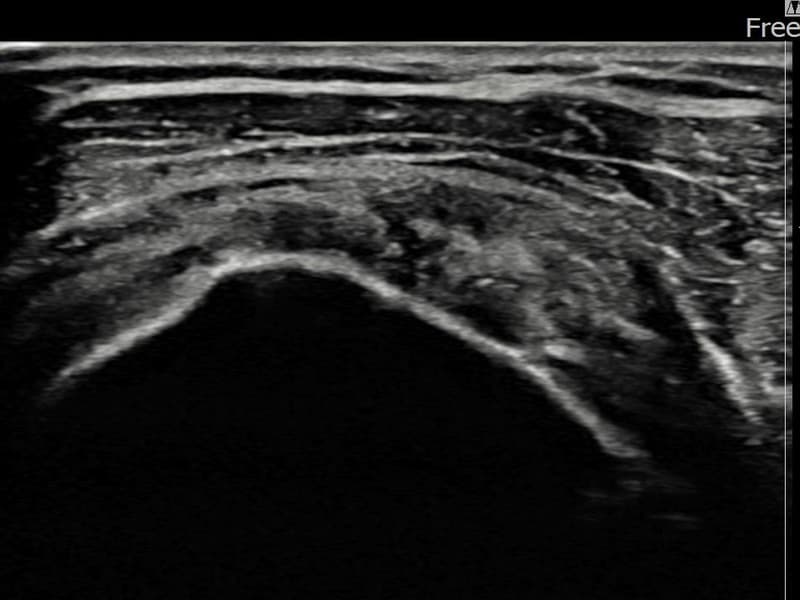
Before


After


치료결과
시술 전 초음파 측정 결과 파열 크기는 3.5mm × 3.1mm (부분파열)로 확인되었습니다. 시술 전 초음파에서 좌측 극상근건 관절면측의 에코 단절과 힘줄 결손 소견이 확인되었으며, 파열 크기는 3.5mm×3.1mm로 측정되었습니다. 시술 후 초음파에서 파열 부위가 재생 조직으로 채워지고 힘줄 에코 패턴이 개선된 것이 관찰되었습니다.
담당 의료진 소견
50대 후반 여성 환자분으로, 왼쪽 어깨 통증이 수개월 지속되어 내원하셨습니다. 초음파 정밀 검사에서 극상근건 관절면측 부분파열이 확인되었으며, 파열 크기는 비교적 소규모이나 증상이 뚜렷하였습니다. 초음파 유도 하 축소봉합술을 시행하였고, 시술 후 단계적 재활 운동을 통해 회복을 진행하였습니다. 시술 14주 후 추적 초음파에서 파열 부위의 연속성이 회복되고 어깨 기능이 정상화된 것이 확인되어 정상 생활에 복귀하셨습니다.
치료 결과 열람은 회원 전용 메뉴입니다
로그인하여 상세한 치료 결과를 확인해 보세요
※ 환자분에게 사전 동의를 받아 동일 조건에서 촬영되었으며, 개인에 따라 치료 후 부작용이 발생할 수도 있으니 사전에 의료진과 상담 후 치료를 진행하시기 바랍니다.