어깨 석회,
1회 시술로
완전히 제거합니다
“석회가 너무 단단해서 못 뺀다”고 하셨나요?
그것은 방법의 문제입니다.
플래티넘의 3세대 석회분쇄흡입술(석회흡입술)은 단단한 석회도 1회에 완전 제거합니다.

단단한 석회도 가능합니다
다른 병원에서 “못 뺀다”는 말을 들으셨다면, 방법이 달랐기 때문입니다.
분쇄
물리적 분쇄로 아무리 단단한 석회도 가루로 만듭니다.
흡입
특수 기구로 강력 흡입하여 석회 잔여물을 완전 제거합니다.
세척
흡입 후 세척으로 남은 잔류물까지 말끔히 처리합니다.
1회 시술 전·후 비교

좌: 시술 전 (선명한 석회 덩어리) | 우: 1회 시술 후 (완전 소실)
이런 말, 들어보셨나요?
더 이상 그 말만 믿고 통증 참지 마세요!
플래티넘의원에서는 모든 단계의 석회를 바로 제거해 드립니다.
다른 병원에서 실패한 후 오시는 경우
“석회가 너무 단단해서 주사로는 안 빠진다, 관절경 수술해야 한다”는 말을 들으신 분들이 많습니다.
하지만 사실이 아닙니다. 방법의 차이입니다.

타병원 3회 시술에도 제거되지 않은 석회 (내원 당시)
실제 환자 사례
“다른 병원에서 석회 빼는 시술을 3번이나 받았는데, 아직도 그대로래요. 시술받고 나면 오히려 더 아프고. X-ray 찍어보니 석회가 거의 그대로였습니다. '석회가 너무 단단해서 주사로는 안 빠진다, 수술해야 한다'고 하더라고요.”
— 40대 초반 여성 환자, 플래티넘의원 내원
단단한 석회 = 방법의 문제
1~2세대 방식(세척술·주사흡입술)은 물렁한 석회에만 효과적입니다. 3세대 분쇄흡입술은 석회를 물리적으로 갈아내기 때문에, 아무리 단단해도 1회에 완전 제거가 가능합니다.
석회 제거율
99%
단순히 주사로 녹이는 것이 아닙니다. 특수 기구로 물리적으로 갈아낸 후 강력 흡입·세척합니다. 충격파나 주사흡입술로 실패한 케이스에서도 1회 시술로 석회를 완전 제거합니다.

주사흡입술이 아닙니다
석회 ‘분쇄’흡입술입니다
단순히 주사로 녹이거나 흡입하는 것(2세대)과, 물리적으로 갈아낸 뒤 흡입하는 것(3세대)은 본질적으로 다릅니다.

- ✗ 단단한 석회 제거 불가
- ✗ 여러 번 반복 시술 필요
- ✗ 잔여 석회 남는 경우 많음
- ✓ 단단한 분필형 석회 완전 제거
- ✓ 1회 시술로 완전 제거
- ✓ 특허받은 분쇄 기구 사용
석회 제거 방법의 3세대 발전
마치 믹서기로 갈아서 빨아내는 것처럼 — 아무리 단단해도 갈면 빨립니다.
| 방법 | 원리 | 단단한 석회 | 시술 횟수 | 인대 손상 |
|---|---|---|---|---|
| 1세대: 세척술(Lavage) | 식염수로 씻어냄 | ✗ 불가 | 여러 번 | 있음 |
| 2세대: 주사흡입술(Barbotage) | 녹여서 흡입 | △ 어려움 | 2~4회 | 있음 |
| 3세대: 석회분쇄흡입술 (플래티넘) 플래티넘 | 분쇄 후 흡입+세척 | ✓ 가능 | 1회 | 최소화 |
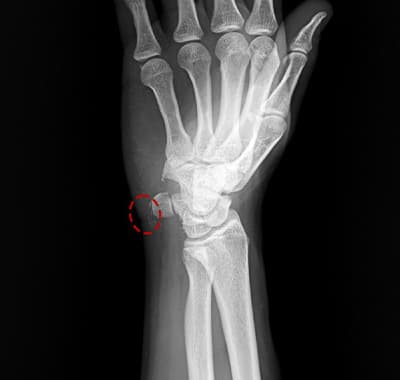
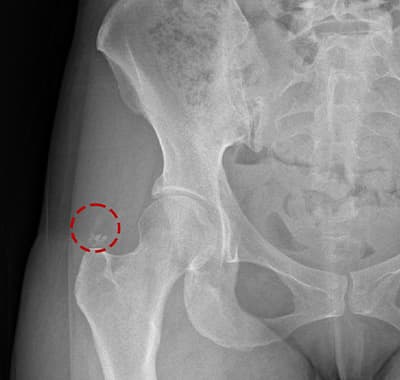
시술 전후 X-ray — 실제 케이스
단단한 석회도 1회 시술 후 완전 제거. 실제 환자 X-ray입니다.

케이스 1 — 시술 전·후

케이스 2 — 시술 전·후

케이스 3 — 시술 전·후
모든 케이스에 대응합니다
“석회의 위치, 크기, 경도, 단계에 따라 치료 전략이 달라집니다. 형성기의 물렁한 석회부터 휴지기의 단단한 분필형 석회까지, 초음파로 먼저 정밀하게 평가한 후 최적의 분쇄 방식을 결정합니다.”
— 이동규 원장, 플래티넘의원 정형외과

형성기 — 무른 석회
힘줄 내 석회가 갓 형성된 시기. 치약처럼 물렁물렁하며 비교적 제거가 쉽습니다.

휴지기 — 단단한 석회
분필처럼 굳어진 상태. 2세대 주사흡입술로는 제거가 어렵고, 3세대 분쇄흡입술이 필요합니다.

흡수기 — 액체화된 석회
석회가 녹아 액체화되는 시기. 극심한 통증이 동반되며 즉각적인 흡입 제거로 빠른 통증 완화가 가능합니다.

복합 파열 동반
석회성건염과 회전근개 파열이 함께 있는 경우. 석회 제거 후 인대 상태를 추가 평가하여 병합치료를 계획합니다.

재발 · 타원 실패 케이스
다른 병원에서 여러 차례 시술했음에도 석회가 그대로인 경우. 분쇄 방식이 달라 1회로 완전 제거가 가능합니다.
분쇄 → 흡입 → 세척 3단계
플래티넘만의 특수 분쇄 기구로 3단계를 하나의 시술로 진행합니다.

STEP 1 — 분쇄
특수 분쇄 기구가 석회에 진입하여 물리적으로 갈아냅니다. 아무리 단단한 석회도 이 단계에서 파쇄됩니다.

STEP 2 — 흡입
분쇄된 석회 조각을 강력한 흡입으로 완전히 제거합니다. 잔여물이 남지 않도록 확인합니다.

STEP 3 — 세척
마지막으로 생리식염수로 세척하여 미세 잔류물까지 제거하고 시술을 마무리합니다.
석회분쇄흡입술, 어떻게 이루어지나요?
석회는 왜 생기고, 언제 가장 아픈가?
석회성건염은 단순히 칼슘이 쌓이는 것이 아닙니다. 형성→휴지→흡수의 3단계를 거치며, 각 단계마다 통증 양상과 치료 방법이 달라집니다. 어느 단계인지 정확히 파악하는 것이 치료의 출발점입니다.
형성기 (Formative Phase)
통증 거의 없음힘줄 세포가 죽으면서 칼슘이 침착되기 시작하는 단계입니다. 석회가 아직 무르고 치약 같은 형태입니다.
이 단계에서는 충격파나 주사치료로도 효과가 있습니다.
휴지기 (Resting Phase)
간헐적 둔통석회가 굳어지는 단계입니다. 분필 같은 단단한 덩어리가 됩니다. X-ray에서 하얀 덩어리로 선명하게 보입니다.
단단한 석회는 주사흡입술(2세대)로 제거가 어렵습니다. 3세대 분쇄흡입술이 필요합니다.
흡수기 (Resorptive Phase)
극심한 통증 (야간에도)석회가 자연 흡수되려는 단계입니다. 혈관이 침입하면서 석회가 무너지는 과정에서 강렬한 염증 반응이 일어납니다.
흡수기에는 석회가 액체화되어 주사흡입술로도 제거가 가능합니다. 단, 극심한 통증 완화를 위해 즉시 시술이 필요합니다.
특허받은 독창적 기술 3가지
본원만의 주사 레시피
석회 성분을 녹이는 본원만의 특허받은 주사 레시피. 일반 식염수 세척과 다른 효과를 냅니다.
특허받은 특수 분쇄 기구
직접 개발·출원한 특수 분쇄 기구. 아무리 단단한 석회도 물리적으로 분쇄하여 1회 완전 제거합니다.
10년 이상 노하우
특허 4건 보유. 10년 이상의 석회 치료 노하우로 다양한 케이스에 대응합니다.
당일 시술 · 당일 귀가
사전 진단
X-ray, 초음파, MRI로 석회의 위치, 크기, 경도 확인. 석회 단계(형성기/휴지기/흡수기) 판단.
마취
상완신경총 차단(BPB) 마취. 전신마취 없이 의식 유지. 마취 효과 확인 후 시술 시작.
분쇄 및 흡입
초음파 유도 하에 특수 분쇄 기구로 석회를 물리적으로 분쇄. 강력 흡입으로 제거 후 세척.
확인 및 귀가
초음파로 석회 제거 확인. 총 시술 시간 30~60분. 당일 귀가. 다음 날부터 가벼운 일상생활 가능.
석회분쇄흡입술 Q&A
석회흡입술과 석회분쇄흡입술은 같은 건가요?+
석회성건염이란 무엇인가요?+
충격파 치료와 석회분쇄흡입술의 차이는?+
시술이 아프지 않나요?+
재발할 수 있나요?+
입원이 필요한가요?+
석회분쇄흡입술 특허 등록증
이동규 원장이 직접 개발·출원한 석회성건염 관련 특허입니다.
석회성건염의 역학적 특성
참고 문헌
한국인 석회성건염 환자 402명을 분석한 다기관 연구(Clinics in Shoulder and Elbow, 2021)에 따르면, 석회성건염은 여성에서 79% 발생하며, 평균 연령 55세, 평균 석회 크기 11.4mm로 보고됩니다. 또한 환자의 15%에서 회전근개 파열이 동반되어 석회 제거 후 파열 여부에 대한 추가 평가가 중요함을 강조합니다.
Kim YS, et al. Calcific tendinitis of the shoulder in the Korean population. Clin Shoulder Elbow. 2021;24(1):9-14. PMC7943381 ↗참고 문헌
Arthroscopy 저널(2020) 무작위 대조 임상시험(RCT, Louwerens JKG et al.)에서 초음파 유도 석회분쇄흡입술(UGN)과 고에너지 체외충격파(ESWT)를 비교한 결과,석회 제거 효율은 UGN이 유의하게 우수했습니다 (석회 크기 감소 13mm vs 6.7mm, P < .001). 추가 치료 필요율도 UGN이 낮았습니다(22% vs 41%).
Louwerens JKG, et al. Comparing Ultrasound-Guided Needling vs High-Energy ESWT. Arthroscopy. 2020;36(7). PMID 32114063 ↗참고 문헌
Clinical Shoulder and Elbow(2022, Lee JP et al.) 연구에서 초음파 유도 Barbotage 후 견봉하 스테로이드 주사를 시행한 석회성건염 환자 36명 중35명(97%)이 수술 없이 증상이 호전됐습니다.
Lee JP, et al. Ultrasound-guided barbotage for calcific tendinitis. Clin Shoulder Elb. 2022;25(2). PMID 35698783 ↗플래티넘의원은 단순 석회 제거에 그치지 않고, 동반된 인대 손상 여부까지 초음파·MRI로 정밀 확인한 뒤 필요 시 석회분쇄흡입술 + 축소봉합술 병합치료를 계획합니다.



