우측 어깨 통증이 수개월간 지속되어 내원하셨습니다.
[촬영시기: 23.09.01~23.11.03]
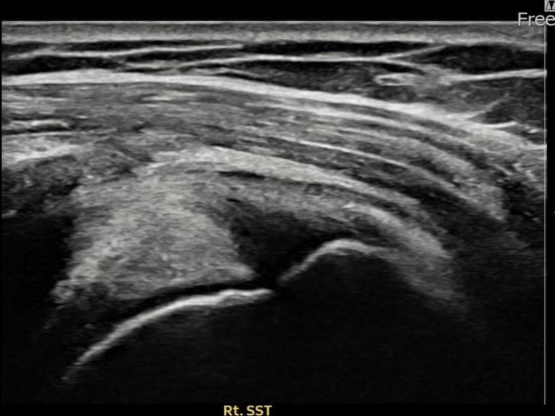
Before


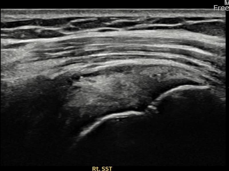
After


치료결과
시술 전 초음파 측정 결과 파열 크기는 8mm × 4mm (힘줄 두께의 약 35% 결손)로 확인되었습니다. 시술 전 초음파에서 우측 극상근건 점액낭면측의 에코 단절과 힘줄 내 결손 소견이 확인되었습니다. 시술 후 초음파에서 결손 부위에 재생 조직이 채워지고 힘줄 두께가 정상 범위로 회복된 것이 관찰되었습니다.
담당 의료진 소견
60대 초반 여성 환자분으로, 우측 어깨 외측 통증이 지속되어 내원하셨습니다. 팔을 머리 위로 올리거나 뒤로 젖히는 동작이 불편하고, 팔꿈치를 붙인 채 팔을 바깥쪽으로 돌릴 때 통증이 심하다고 하셨습니다. 정밀 초음파 검사에서 우측 극상근건 점액낭면측 부분파열이 확인되었으며, 초음파 유도 하 축소봉합술을 시행하였습니다. 시술 후 보조기를 착용하며 재활 운동을 단계적으로 진행하였고, 시술 11주 후 추적 초음파에서 파열 부위 연속성이 회복되어 정상 생활에 복귀하셨습니다.
치료 결과 열람은 회원 전용 메뉴입니다
로그인하여 상세한 치료 결과를 확인해 보세요
※ 환자분에게 사전 동의를 받아 동일 조건에서 촬영되었으며, 개인에 따라 치료 후 부작용이 발생할 수도 있으니 사전에 의료진과 상담 후 치료를 진행하시기 바랍니다.