우측 어깨 전방 통증과 팔 내회전 제한으로 내원하셨습니다.
[촬영시기: 24.03.04~24.05.10]
Before


After


치료결과
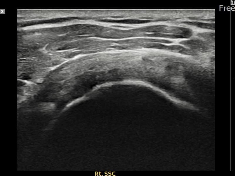
시술 전 초음파 측정 결과 파열 크기는 7mm × 3mm (힘줄 두께의 약 28% 결손)로 확인되었습니다. 시술 전 초음파에서 우측 견갑하근건 관절면측의 에코 단절과 힘줄 결손 소견이 확인되었습니다. 시술 후 초음파에서 파열 부위에 재생 조직이 형성되고 힘줄 연속성이 회복된 것이 관찰되었습니다.
담당 의료진 소견
30대 후반 남성 환자분으로, 우측 어깨 앞쪽 통증과 함께 팔을 안쪽으로 돌리거나 등 뒤로 보내는 동작이 어려워 내원하셨습니다. 헬스 훈련 중 부상 이후 증상이 시작되었으며, 견갑하근건 손상은 극상근건 손상에 비해 발견이 늦은 경우가 많아 주의가 필요한 부위입니다. 초음파 검사에서 우측 견갑하근건 관절면측 부분파열이 확인되었으며, 초음파 유도 하 축소봉합술을 시행하였습니다. 시술 후 내회전 강화 재활 운동을 통해 꾸준히 회복하였고, 시술 후 추적 초음파에서 힘줄 연속성이 회복되어 정상 생활에 복귀하셨습니다.
치료 결과 열람은 회원 전용 메뉴입니다
로그인하여 상세한 치료 결과를 확인해 보세요
※ 환자분에게 사전 동의를 받아 동일 조건에서 촬영되었으며, 개인에 따라 치료 후 부작용이 발생할 수도 있으니 사전에 의료진과 상담 후 치료를 진행하시기 바랍니다.