회전근개파열 치료 사례 30건
수천 건의 어깨 관절경 수술을 집도한 이동규 원장의 실제 치료 사례입니다. 비수술로 해결 가능한 케이스는 어깨인대 축소봉합술·인대재생주사로, 수술이 불가피한 케이스는 관절경 수술을 직접 집도합니다. 치료 전후 초음파 비교와 원장 소견을 공개합니다.
수술도 잘하는 의사가 비수술을 먼저 시도합니다
플래티넘의원 이동규 원장은 연세알찬정형외과에서 수천 건의 어깨 관절경 수술을 집도한 견주관절 정형외과 전문의입니다. 수술 경험이 풍부하기 때문에, 어떤 케이스가 비수술로 해결되는지, 어떤 케이스가 수술이 반드시 필요한지를 정확히 판단합니다.
회전근개 부분파열과 소형 전층파열은 어깨인대 축소봉합술, 4세대 인대재생주사, 골수자극 줄기세포 치료 등 비수술로 해결이 가능한 경우가 많습니다. 그러나 전층파열 대형파열, 인대 후퇴가 심한 케이스 등 수술이 불가피한 경우에는 이동규 원장이 직접 관절경 봉합수술 또는 리제네텐 수술을 집도합니다. 비수술에서 수술까지 한 의사에게 연속적으로 받을 수 있어 치료 방침이 일관됩니다.
전체 30건 · 모든 사례는 환자 동의 후 게시합니다 · 개인차가 있으며 동일한 결과를 보장하지 않습니다.


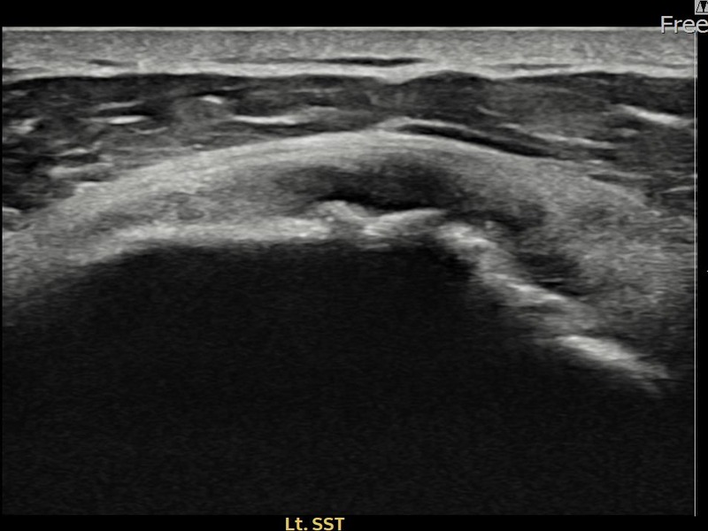
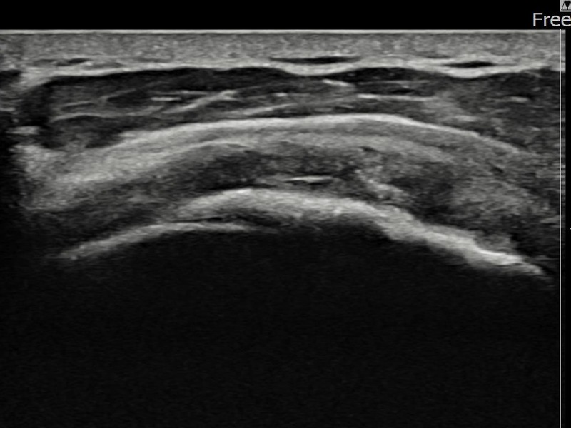
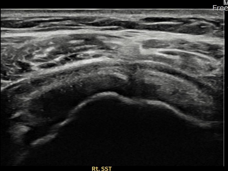
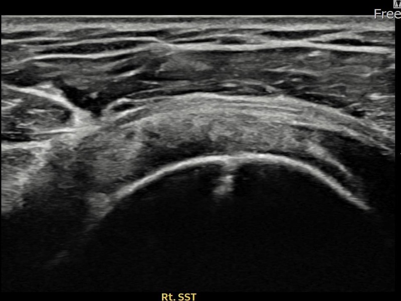
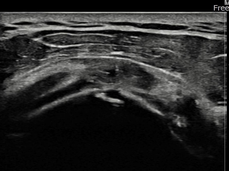
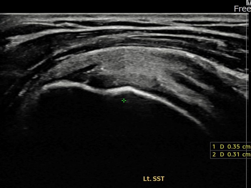
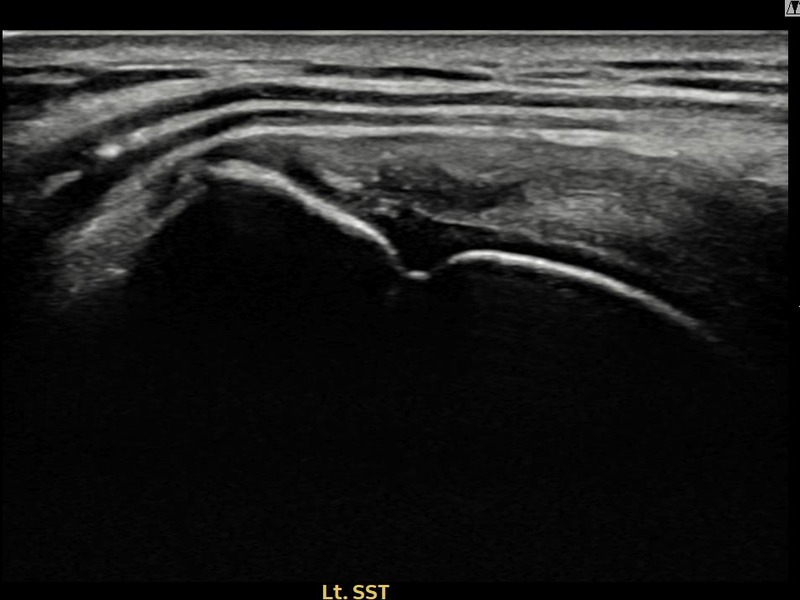
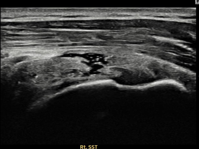
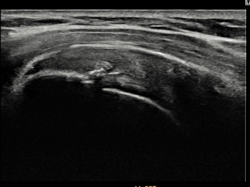
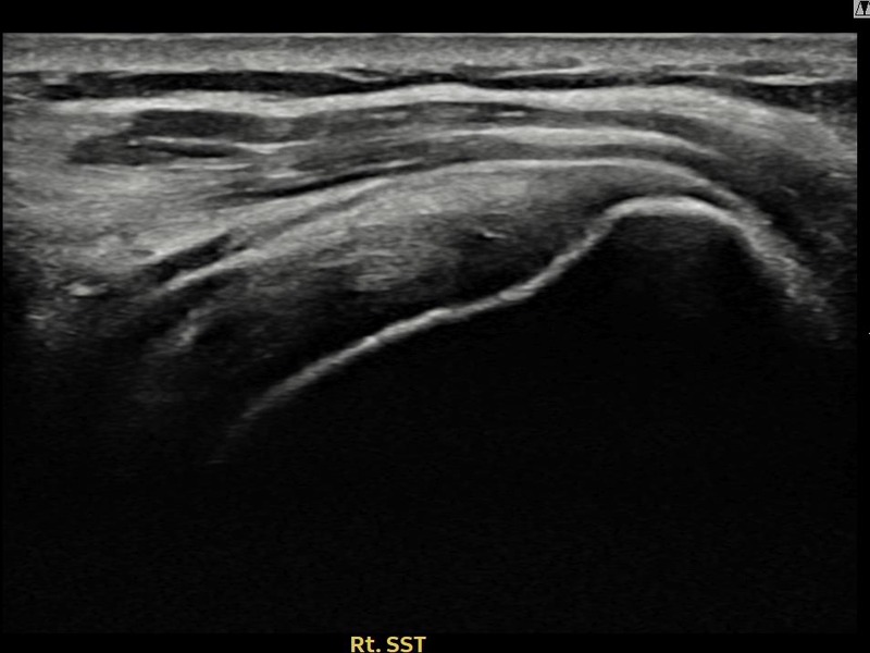
김ㅇㅇ님 · 좌측 극상근건 광범위 부분파열
좌측 어깨 광범위 파열로 수술을 권유받았으나 비수술 치료를 원해 내원하셨습니다. 초음파 검사에서 극상근건 전층에 걸친 광범위 부분파열이 확인되었으며, 어깨인대 축소봉합술 후 구조적 안정화와 기능 회복이 이루어졌습니다.
상세 보기 →


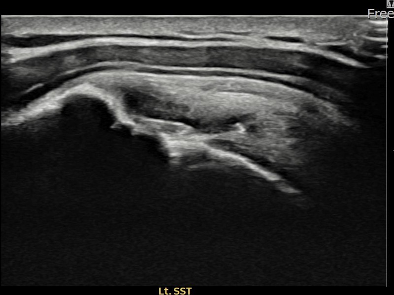
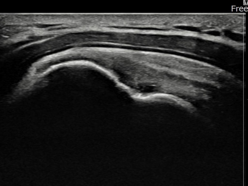
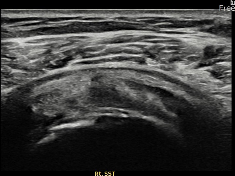
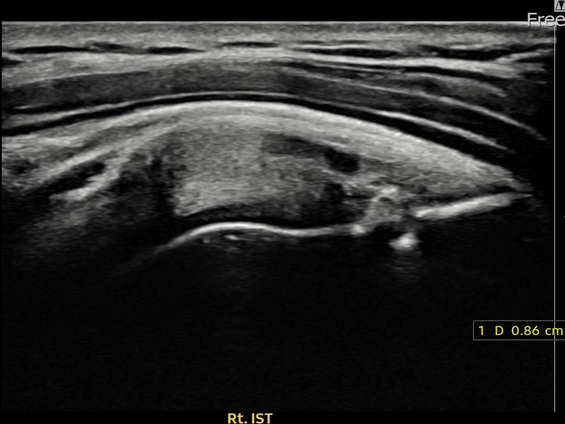
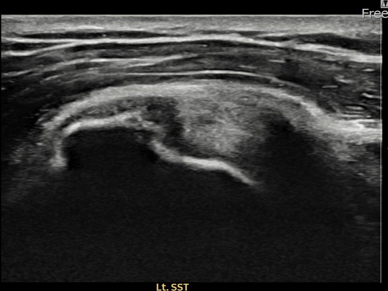
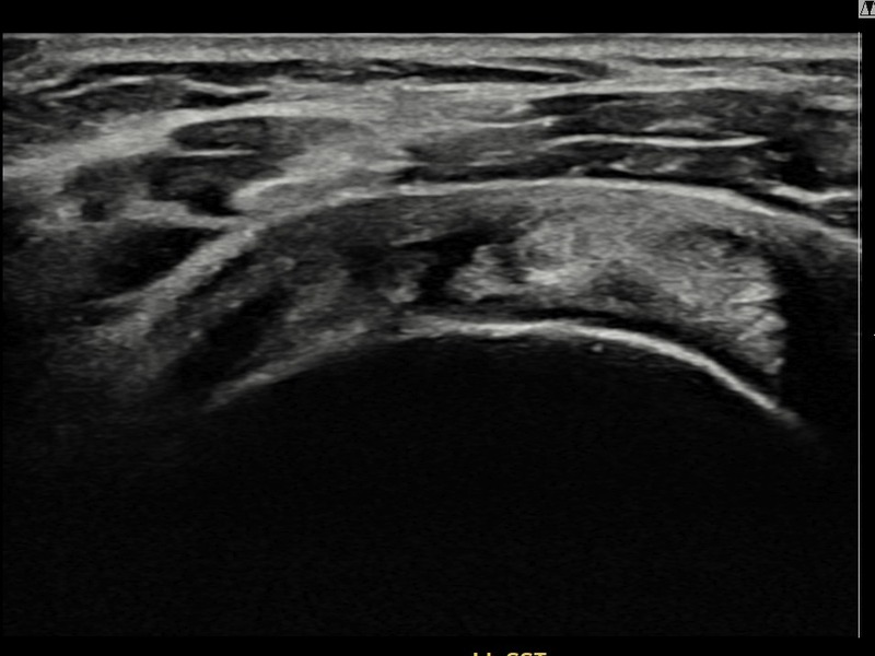
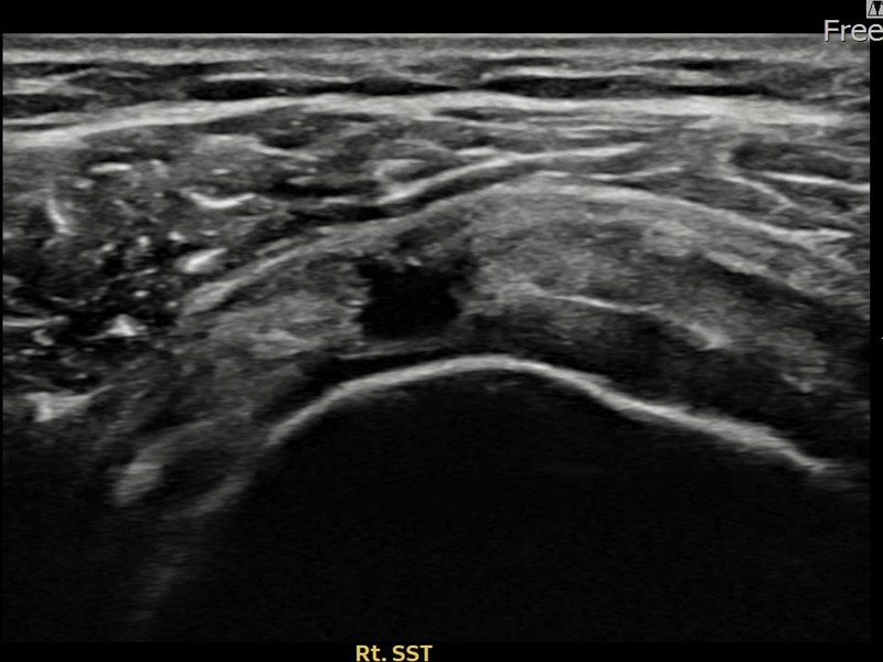
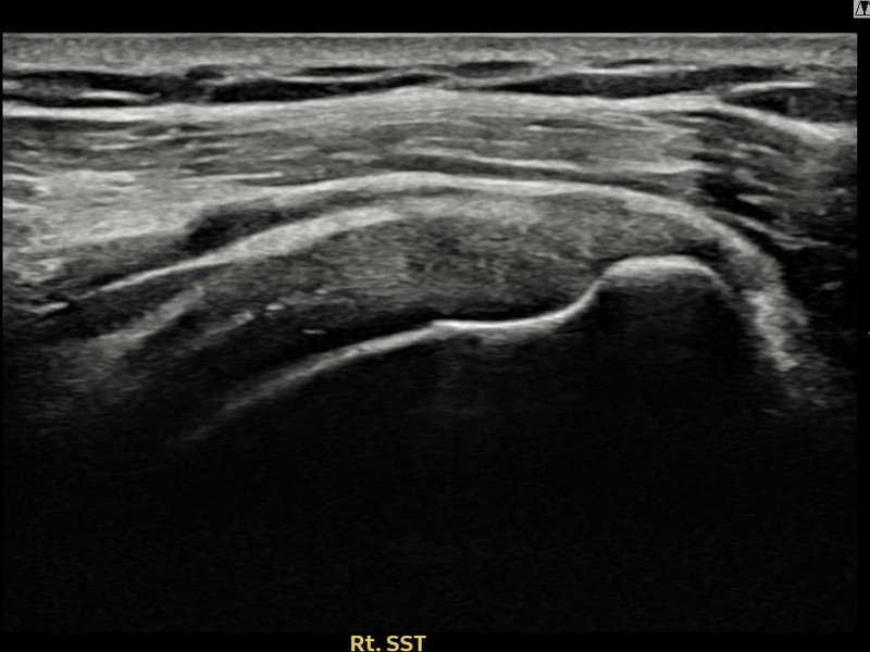
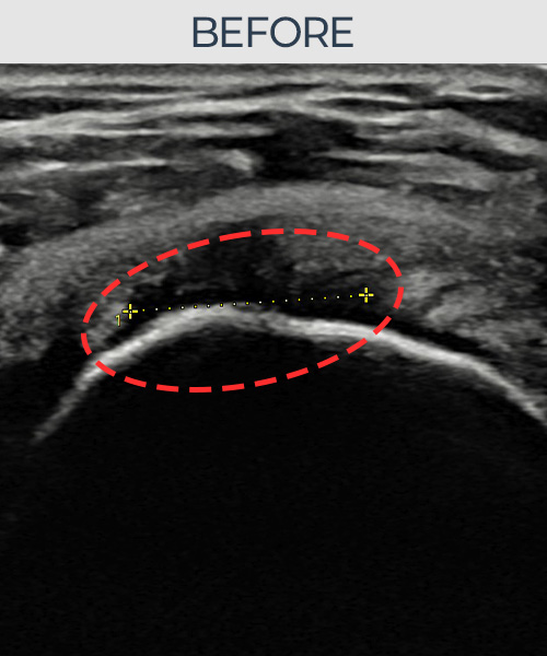
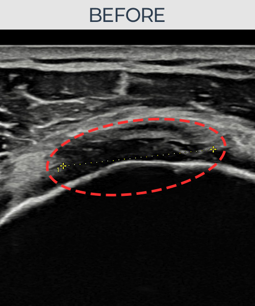
김ㅇㅇ님 · 좌측 극상근건 부착부 광범위 부분파열
좌측 어깨 극상근건 광범위 파열로 수개월간 일상생활이 어렵던 중 내원하셨습니다. 초음파 검사에서 부착부 광범위 부분파열이 확인되었으며, 어깨인대 축소봉합술 시행 후 힘줄 구조가 회복되었습니다.
상세 보기 →


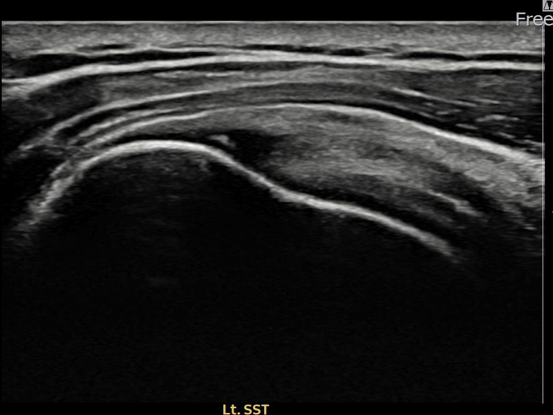
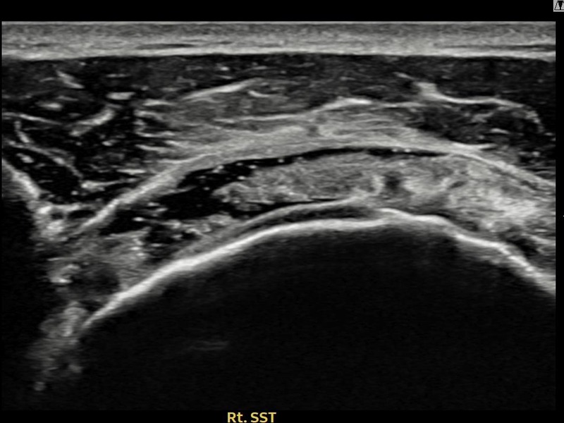
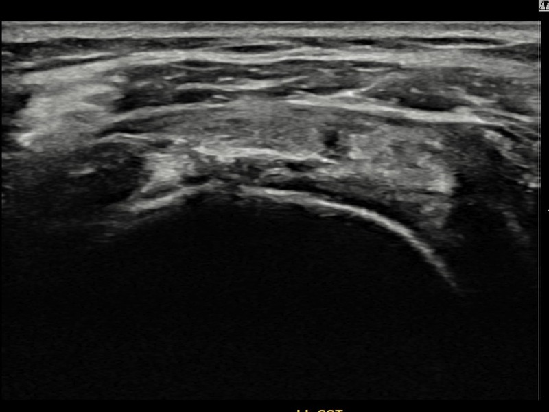
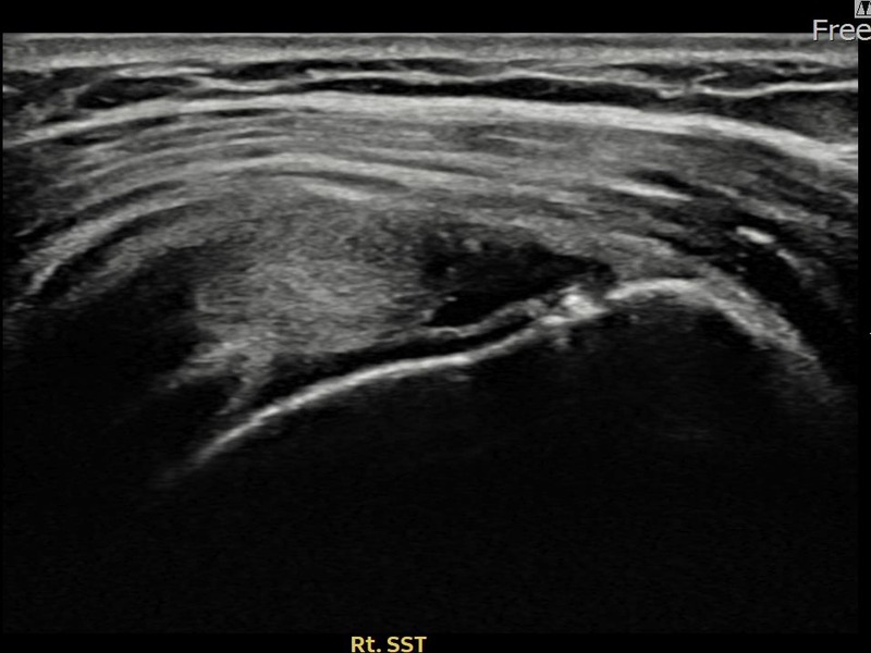
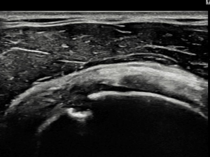
최ㅇㅇ님 · 우측 극상근건 관절면측 부분파열
우측 어깨 통증과 팔을 특정 각도로 올릴 때 심해지는 충돌 증상으로 내원하셨습니다. 초음파 검사에서 관절면측 극상근건 부분파열이 확인되었으며, 어깨인대 축소봉합술 시행 후 힘줄 구조가 안정적으로 회복되었습니다.
상세 보기 →


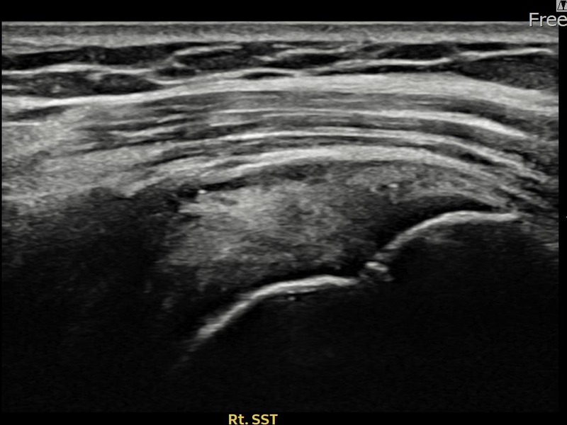
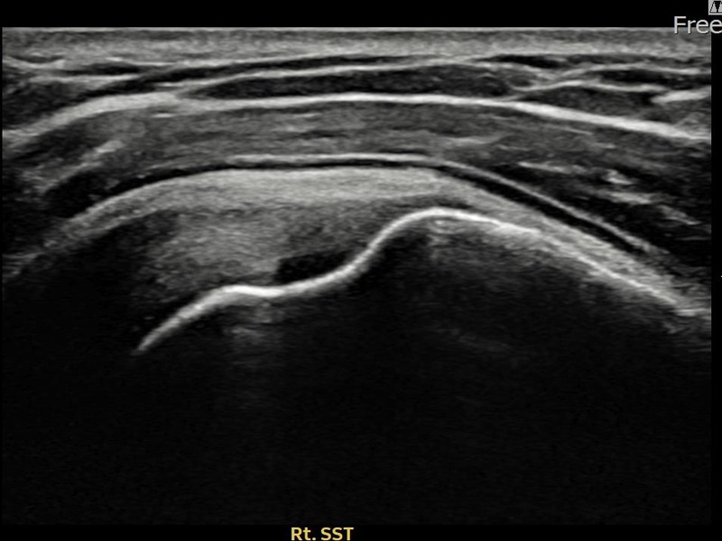
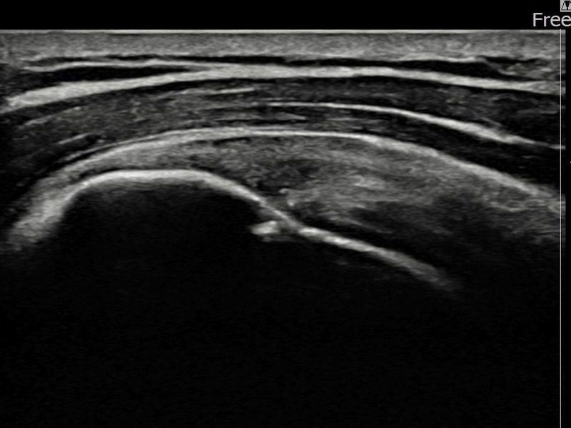
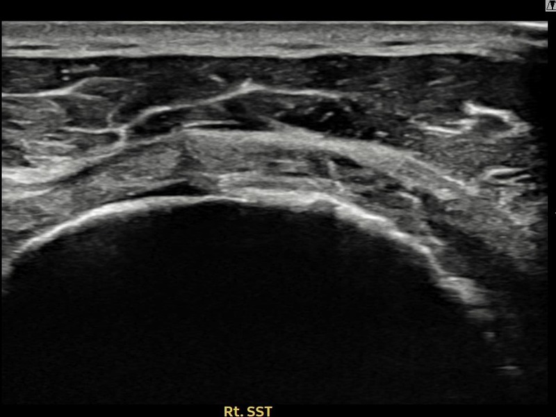
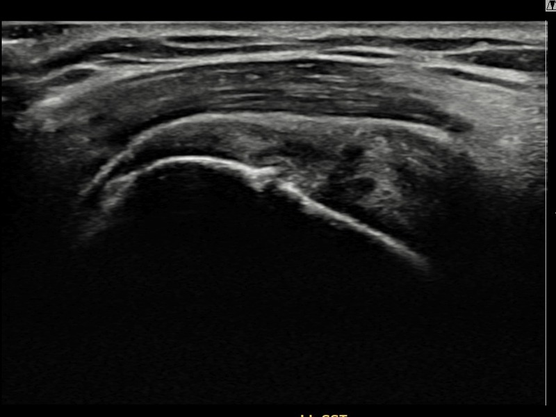
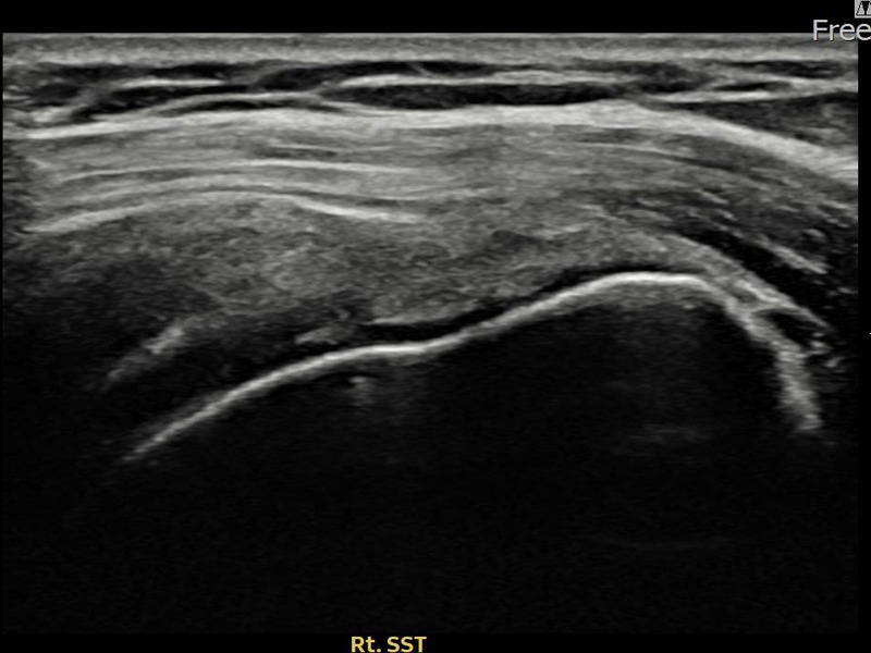
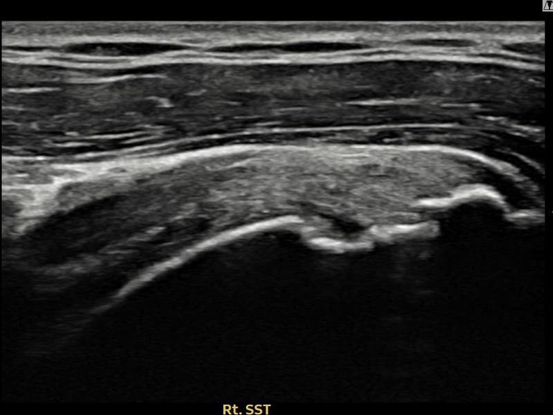
최ㅇㅇ님 · 우측 극상근건 점액낭면측 부분파열
우측 어깨 통증이 수개월간 지속되어 내원하셨습니다. 초음파 검사에서 점액낭면측 극상근건 부분파열이 확인되었으며, 어깨인대 축소봉합술 후 힘줄 두께가 회복되고 에코 연속성이 정상화되었습니다.
상세 보기 →


허ㅇㅇ님 · 우측 극상근건 관절면측 부분파열
우측 어깨 통증과 야간 통증으로 수면 장애가 있어 내원하셨습니다. 초음파 검사에서 관절면측 극상근건 부분파열이 확인되었으며, 어깨인대 축소봉합술 후 힘줄 구조적 회복이 이루어졌습니다.
상세 보기 →


허ㅇㅇ님 · 우측 극상근건 부착부 부분파열
우측 어깨 통증과 팔 들어 올리기 제한으로 내원하셨습니다. 초음파 검사에서 극상근건 부착부 부분파열이 확인되었으며, 어깨인대 축소봉합술 시행 후 부착부 연속성이 회복되었습니다.
상세 보기 →


정ㅇㅇ님 · 좌측 극상근건 관절면측 부분파열
좌측 어깨 통증과 팔을 올릴 때 뻐근함이 지속되어 내원하셨습니다. 초음파 검사에서 관절면측 극상근건 부분파열이 확인되었으며, 어깨인대 축소봉합술 후 힘줄 결손이 재생 조직으로 채워지며 구조적 회복이 이루어졌습니다.
상세 보기 →


정ㅇㅇ님 · 좌측 극상근건 부착부 부분파열
좌측 어깨 부착부 부분파열로 팔을 들어 올릴 때마다 통증이 심해 내원하셨습니다. 초음파 검사에서 극상근건 부착부 에코 단절이 확인되었으며, 어깨인대 축소봉합술 후 힘줄 부착부 연속성이 완전히 회복되었습니다.
상세 보기 →


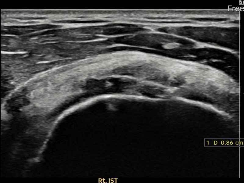
김ㅇㅇ님 · 우측 극하근건 관절면측 부분파열
우측 어깨 후방 통증과 팔을 바깥으로 돌릴 때 통증이 심해 내원하셨습니다. 초음파 검사에서 극하근건 관절면측 부분파열이 확인되었으며, 어깨인대 축소봉합술 후 힘줄 구조적 안정화가 이루어졌습니다.
상세 보기 →


김ㅇㅇ님 · 우측 극하근건 부착부 부분파열
우측 어깨 후방 통증과 외회전 시 심한 통증으로 내원하셨습니다. 초음파 검사에서 극하근건 부착부 부분파열이 확인되었으며, 어깨인대 축소봉합술 후 부착부 힘줄 연속성이 회복되었습니다.
상세 보기 →


서ㅇㅇ님 · 좌측 극상근건 관절면측 부분파열
좌측 어깨 통증으로 팔을 올리기 불편하여 내원하셨습니다. 초음파 검사에서 관절면측 극상근건 부분파열이 확인되었으며, 어깨인대 축소봉합술 후 파열 부위 연속성이 회복되었습니다.
상세 보기 →


서ㅇㅇ님 · 좌측 극상근건 부착부 부분파열
좌측 어깨 부착부 통증과 야간 통증으로 수면 장애가 있어 내원하셨습니다. 초음파 검사에서 극상근건 부착부 부분파열이 확인되었으며, 어깨인대 축소봉합술 후 부착부 힘줄이 구조적으로 회복되었습니다.
상세 보기 →


정ㅇㅇ님 · 좌측 극상근건 부분파열
좌측 어깨 통증이 오래 지속되어 내원하셨습니다. 초음파 검사에서 극상근건 부분파열이 확인되었으며, 어깨인대 축소봉합술 시행 후 장기 추적 초음파에서 힘줄 연속성이 완전히 회복된 것이 확인되었습니다.
상세 보기 →


유ㅇㅇ님 · 우측 견갑하근건 관절면측 부분파열
우측 어깨 전방 통증과 팔 내회전 제한으로 내원하셨습니다. 초음파 검사에서 견갑하근건 관절면측 부분파열이 확인되었으며, 어깨인대 축소봉합술 후 힘줄 구조적 안정화가 이루어졌습니다.
상세 보기 →


유ㅇㅇ님 · 우측 견갑하근건 부분파열
우측 어깨 전방 통증과 팔 들어 올리기 어려움으로 내원하셨습니다. 초음파 검사에서 견갑하근건 부분파열이 확인되었으며, 어깨인대 축소봉합술 후 힘줄 연속성이 회복되고 어깨 기능이 정상화되었습니다.
상세 보기 →


이ㅇㅇ님 · 좌측 극상근건 부착부 부분파열
좌측 어깨 통증이 수개월째 지속되어 내원하셨습니다. 초음파 검사에서 극상근건 부착부 부분파열이 확인되었으며, 어깨인대 축소봉합술 후 힘줄 연속성이 회복되었습니다.
상세 보기 →


이ㅇㅇ님 · 우측 극상근건 관절면측 광범위 부분파열
우측 어깨 광범위 파열로 수술을 권유받았으나 비수술 치료를 원해 내원하셨습니다. 축소봉합술 시행 후 광범위한 파열 부위의 구조적 안정화가 확인되었습니다.
상세 보기 →


이ㅇㅇ님 · 우측 극상근건 부분파열 + 건내 석회화
우측 어깨 야간 통증과 팔 올리기 제한으로 내원하셨습니다. 초음파에서 극상근건 파열과 함께 건내 석회화가 동반 확인되었으며, 시술 후 구조적 회복이 이루어졌습니다.
상세 보기 →


김ㅇㅇ님 · 좌측 극상근건 점액낭면측 부분파열
좌측 어깨 광범위 파열로 팔 들어올리기가 매우 어려웠습니다. 축소봉합술 시행 후 점액낭면측 힘줄 구조가 안정화되었습니다.
상세 보기 →


김ㅇㅇ님 · 좌측 극상근건 관절면측 부분파열
좌측 어깨 통증으로 팔을 옆으로 들어올리기 어려워 내원하셨습니다. 극상근건 관절면측 부분파열 확인 후 축소봉합술로 힘줄 구조가 회복되었습니다.
상세 보기 →


최ㅇㅇ님 · 우측 극상근건 관절면측 파열 진행형
우측 어깨 파열이 진행된 상태로 수술 없이 치료를 원해 내원하셨습니다. 다각도 초음파 평가 후 축소봉합술을 시행하여 힘줄 구조가 안정화되었습니다.
상세 보기 →


최ㅇㅇ님 · 우측 극상근건 관절면측 부분파열
우측 어깨 통증으로 수면과 일상 동작이 어려워 내원하셨습니다. 초음파 유도 하 축소봉합술 후 힘줄 연속성이 회복되었습니다.
상세 보기 →


김ㅇㅇ님 · 우측 극상근건 관절면측 부분파열
우측 어깨 통증이 일상 동작에서 지속되어 내원하셨습니다. 초음파 검사에서 극상근건 관절면측 부분파열 확인 후 축소봉합술을 시행하였고 구조적 회복이 이루어졌습니다.
상세 보기 →


김ㅇㅇ님 · 우측 극상근건 점액낭면측 부분파열
우측 어깨 통증으로 팔을 들어올리기 어렵고 취침 시 통증이 심해 내원하셨습니다. 점액낭면측 부분파열에 대해 축소봉합술을 시행하였고 힘줄 구조가 완전히 회복되었습니다.
상세 보기 →


허ㅇㅇ님 · 우측 극상근건 관절면측 부분파열
우측 어깨 통증과 팔 들어올리기 제한으로 내원하셨습니다. 정밀 초음파 검사에서 극상근건 관절면측 부분파열이 확인되었고, 어깨인대 축소봉합술 시행 후 힘줄 연속성과 에코 패턴이 정상으로 회복되었습니다.
상세 보기 →


강ㅇㅇ님 · 회전근개 부분파열 + 인대 손상
우측 어깨 통증으로 팔을 올리기 어려웠으며, 충격파 치료에 반응이 없어 내원하셨습니다. 초음파상 회전근개 부분파열과 인대 손상이 확인되었고, 어깨인대 축소봉합술 시행 후 인대 구조가 안정화되어 일상 복귀하셨습니다.
상세 보기 →


김ㅇㅇ님 · 회전근개 관절면측 파열
좌측 어깨 야간 통증이 심하여 수면에 지장이 있었습니다. 타 병원에서 수술을 권유받았으나 비수술 치료를 원해 내원하셨습니다. 봉합 후 인대 구조 안정화가 확인되었습니다.
상세 보기 →


조ㅇㅇ님 · 회전근개 부분파열
운동 중 어깨 부상 이후 지속되는 통증으로 내원하셨습니다. 초음파 검사 결과 회전근개 부분파열이 확인되었고, 축소봉합술 시행 후 힘줄 결손 부위의 재생이 확인되었습니다.
상세 보기 →


김ㅇㅇ님 · 회전근개 관절면측 부분파열
가사 노동 중 어깨에 통증이 생겨 점점 악화되었습니다. 인대-뼈 부착부 고정 후 두께가 증가하여 통증 없이 일상생활이 가능해졌습니다.
상세 보기 →


이ㅇㅇ님 · 회전근개 관절면측 부분파열
어깨 통증이 6개월 이상 지속되어 내원하셨습니다. 파열 부위 봉합 후 인대 연속성이 회복되었으며, 시술 3개월 후 정상 활동에 복귀하셨습니다.
상세 보기 →