가사 노동 중 어깨에 통증이 생겨 점점 악화되었습니다.
[촬영시기: 25.07.02~25.09.24]
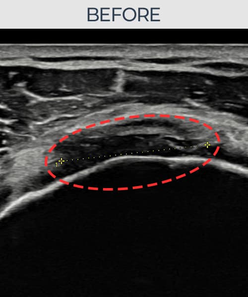
Before


After


치료결과
시술 전 초음파 측정 결과 파열 크기는 8mm × 5mm (힘줄 두께의 약 45% 결손)로 확인되었습니다. 시술 전 초음파에서 관절면측 회전근개 부착부의 두께 감소와 힘줄-뼈 접합부의 에코 불균질성이 뚜렷하게 관찰되었습니다. 시술 후 초음파에서 부착부 두께가 유의하게 증가하였고, 힘줄 내부의 에코 패턴이 균질하게 회복되었습니다.
담당 의료진 소견
40대 중반 여성 환자분으로, 두 아이를 키우며 집안일을 혼자 도맡아 하시는 분이었습니다. 빨래 널기, 높은 곳 정리 등 팔을 위로 올리는 동작에서 통증이 반복되다 점차 일상적인 동작에서도 통증이 생겨 내원하셨습니다. 초음파 검사에서 관절면측 회전근개 부착부의 두께 감소와 부분파열이 확인되었으며, 비수술 축소봉합술로 인대-뼈 부착부를 고정하는 치료 계획을 수립하였습니다. 시술은 30여 분 만에 완료되었고 당일 귀가하셨으며, 시술 후 2주째부터 가벼운 생활 동작을 단계적으로 허용하였습니다. 6주 후 추적 초음파에서 봉합 위치가 안정적으로 유지됨을 확인하였고, 최종 경과 관찰에서 부착부 두께가 유의하게 증가하여 통증 없이 가사 활동이 가능해지셨습니다.
치료 결과 열람은 회원 전용 메뉴입니다
로그인하여 상세한 치료 결과를 확인해 보세요
※ 환자분에게 사전 동의를 받아 동일 조건에서 촬영되었으며, 개인에 따라 치료 후 부작용이 발생할 수도 있으니 사전에 의료진과 상담 후 치료를 진행하시기 바랍니다.