파열이 50%래요. 수술해야 하나요?
선생님, MRI에서 회전근개가 50% 찢어졌대요. 수술해야 한다는데...
40대 중반의 남성 환자분이 걱정스러운 표정으로 MRI 사진을 들고 내원하셨습니다.
다른 병원에서 '반 이상 찢어졌으니까 수술해야 한다'고 했어요. 근데 수술은 무서워서... 정말 수술밖에 방법이 없는 건가요?
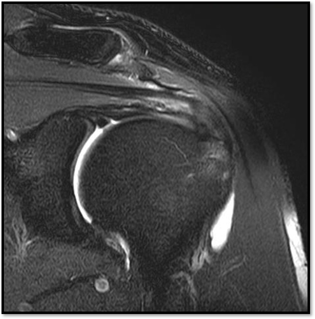
MRI를 검토해보았습니다. 확실히 회전근개 극상건에 부분파열이 있었습니다.
그러나 저는 환자분께 말씀드렸습니다.
파열이 몇 %인지보다, 어디가 어떻게 찢어졌는지가 더 중요합니다.
파열 %보다 중요한 것
많은 환자분들이 "몇 % 파열"이라는 숫자에 집중하십니다.
30% 파열이면 괜찮고, 50% 파열이면 수술?
70% 넘으면 무조건 수술?
이것은 잘못된 기준입니다.
파열 %는 참고 지표일 뿐, 치료 방법을 결정하는 핵심 기준이 아닙니다.
진짜 중요한 것은 두 가지입니다:
파열 위치: 어디가 찢어졌는가?
파열 양상: 어떻게 찢어졌는가?
파열 위치가 중요합니다
회전근개는 입체적인 구조입니다. 같은 "부분파열"이라도 어느 쪽이 찢어졌는지에 따라 치료법이 완전히 달라집니다.
관절면측(Articular-side) 파열 = 인대 내부가 찢어진 것
회전근개의 아래쪽(관절 쪽)이 손상된 경우입니다.

특징:
인대가 뼈에 붙는 부착부(footprint) 부위 손상
혈류 공급이 적어 자연 치유가 어려움
방치 시 전층파열로 진행 위험 높음
치료법: 축소봉합술
관절면측 파열은 물리적으로 인대를 다시 붙여주는 치료가 필요합니다.
플래티넘의원의 축소봉합술은:
뼈에 특수 드릴로 미세 터널 형성
체내 흡수성 특허 콜라겐 봉합사로 파열 부위 봉합
일반 축소봉합술 대비 장력이 훨씬 단단하고 튼튼
인대가 뼈에 견고하게 재부착됨

점액낭면측(Bursal-side) 파열 = 인대 외부가 찢어진 것
회전근개의 위쪽(점액낭 쪽)이 손상된 경우입니다.

특징:
인대의 표면(외부)이 손상됨
관절면측보다 혈류 공급이 좋음
적절한 치료 시 재생 가능성 높음
치료법: 리제네텐(Regeneten) 콜라겐 패치
점액낭면측 파열은 콜라겐 패치를 덧대어 손상된 인대를 강화하고 재생시킵니다.
리제네텐은:
생체 콜라겐 스캐폴드(발판)를 손상 부위에 부착
인대 조직이 스스로 두꺼워지는 환경 제공
힘줄의 생물학적 재형성(bioinduction) 유도

파열 위치별 치료법 비교
| 구분 | 관절면측(내측) 파열 | 점액낭면측(외측) 파열 |
|---|---|---|
| 위치 | 인대 아래쪽 (뼈 부착부) | 인대 위쪽 (표면) |
| 혈류 | 적음 | 상대적으로 좋음 |
| 자연치유 | 어려움 | 가능성 있음 |
| 치료법 | 축소봉합술 | 리제네텐 패치 |
| 원리 | 물리적 봉합 | 생물학적 재생 유도 |
파열 양상이 중요합니다
같은 위치의 파열이라도 어떻게 찢어졌는지에 따라 치료 접근이 달라집니다.
가로 파열 (Transverse tear)
인대의 결을 가로질러 찢어진 경우입니다.
특징:
비교적 깔끔하게 찢어짐
파열 부위가 명확함
봉합 시 장력 유지가 용이
치료:
축소봉합술 또는 재생주사로 치료 가능한 경우가 많음
세로(결따라) 파열 = 맛살처럼 갈래갈래
인대의 결을 따라 세로로 찢어지면서, 여러 갈래로 흩어진 경우입니다.

특징:
인대 섬유가 여러 가닥으로 분리됨
파열 부위가 불규칙함
봉합 시 강력한 장력이 필요함
비수술적 접근만으로는 한계가 있을 수 있음
치료:
강력한 장력이 필요한 경우 → 관절경적 수술 고려
장력 요구가 크지 않은 경우 → 복합 비수술치료 가능
파열 양상에 따른 치료 방향
| 파열 양상 | 특징 | 치료 방향 |
|---|---|---|
| 가로 파열 | 깔끔, 장력 유지 용이 | 비수술 우선 고려 |
| 세로(결따라) 파열 | 갈래갈래, 강력한 장력 필요 | 수술 고려 필요 |
| 복합 파열 | 여러 양상 혼재 | 개별 평가 필요 |
파열 %는 그래서 중요하지 않은가?
중요하지 않다기보다는, 위의 두 가지(위치, 양상)가 치료 방법 결정에 더 핵심적인 역할을 합니다.
같은 50% 파열이라도:
관절면측 가로 파열 → 축소봉합술로 비수술 치료 가능
점액낭면측 가로 파열 → 리제네텐 + 재생주사로 치료 가능
세로 파열 + 갈래갈래 → 수술이 더 적합할 수 있음
파열 %만 보고 수술 여부를 결정하는 것은 적절하지 않습니다.
치료 결정에 영향을 주는 그 외 요소들
파열 위치와 양상 외에도, 다음 요소들이 치료 방법 결정에 영향을 줍니다.
1. 근력 (Muscle strength)
현재 어깨 근력이 얼마나 유지되어 있는가?
근력이 잘 유지됨 → 비수술치료로 기능 회복 가능성 높음
근력이 심하게 저하됨 → 구조적 복원(수술) 필요할 수 있음
2. 현재 기능 (Function)
일상생활에서 어깨 기능이 어느 정도인가?
일상생활 가능 → 비수술치료로 유지/개선 가능
일상생활 심각하게 제한됨 → 적극적 치료 필요
3. 관절 가동범위 (ROM)
팔을 얼마나 움직일 수 있는가?
가동범위 정상 또는 경미한 제한 → 비수술치료 적합
심한 제한 (오십견 동반 등) → 복합적 접근 필요
4. 연령 (Age)
나이는 치료 선택에 중요한 요소입니다.
젊은 환자: 조직 재생 능력 좋음, 골수 줄기세포 풍부
고령 환자: 재생 능력 저하, 수술 위험 증가
5. 직업 및 활동 수준
어깨를 얼마나 사용하는 직업/활동인가?
육체노동, 운동선수: 완전한 구조적 복원 필요 → 수술 고려
사무직, 가벼운 활동: 기능적 회복 목표 → 비수술 우선
골수자극 줄기세포 재생술
크게 파열되지 않고, 강력한 장력이 필요한 봉합술이 필요하지 않을 때
이런 경우, 골수자극재생술을 통해 우리 몸의 자체 줄기세포를 활성화시켜 재생을 유도할 수 있습니다.
우리 몸의 뼈 속(골수)에는 줄기세포가 있습니다.
줄기세포는 다양한 조직으로 분화할 수 있는 능력을 가진 세포입니다. 인대세포로도 분화할 수 있습니다.
골수자극재생술은:
미세천공: 특수 기구로 손상 부위 아래 뼈에 작은 구멍을 뚫음
줄기세포 유출: 골수 속 줄기세포가 구멍을 통해 손상 부위로 유출
재생 유도: 줄기세포가 손상 부위에서 인대세포로 분화하여 재생

플래티넘의 골수자극재생술
플래티넘의원에서는 골수자극재생술과 함께 4세대 인대재생주사를 병행합니다.
미세천공으로 줄기세포 활성화 (내부 재생력)
재생주사로 성장인자 + 콜라겐 공급 (외부 재생 성분)
미세전류치료로 재생 환경 최적화
3가지가 시너지를 이루어, 단독 치료보다 훨씬 효과적인 재생을 유도합니다.


적응증
골수자극재생술이 적합한 경우:
부분파열로 인대의 연속성이 유지됨
강력한 장력이 필요한 봉합술이 불필요한 상태
파열 양상이 비교적 깔끔함 (갈래갈래 아님)
젊거나 중년 환자 (줄기세포 활성 양호)
한계: 고령 환자
나이가 너무 많으면 골수자극재생술의 효과가 제한적입니다.
이유:
나이가 들수록 골수 내 줄기세포의 수가 감소
줄기세포의 분화 능력(질)도 저하
따라서 미세천공을 해도 충분한 재생이 일어나지 않을 수 있음
*Stem Cell Research & Therapy*에 발표된 연구(2019)에 따르면, 골수 유래 줄기세포의 수와 기능은 나이에 따라 유의하게 감소하며, 특히 60세 이후 급격히 저하됩니다.¹
따라서 골수자극재생술은 60세 미만의 환자에게 더 효과적입니다. 고령 환자의 경우 다른 치료법(재생주사 단독, 수술 등)을 우선 고려합니다.
| 연령대 | 줄기세포 활성 | 골수자극술 효과 |
|---|---|---|
| 40대 이하 | 매우 좋음 | 매우 효과적 |
| 50대 | 좋음 | 효과적 |
| 60대 | 저하 시작 | 제한적 |
| 70대 이상 | 현저히 저하 | 권장하지 않음 |
실제 케이스
케이스 1: 관절면측 파열 → 축소봉합술
환자: 45세 남성, 테니스 동호회
진단:
MRI: 극상건 관절면측 부분파열 (약 40%)
파열 양상: 가로 파열, 깔끔함
치료:
축소봉합술 (특수 드릴 + 콜라겐 봉합사)
재생주사 병행
재활 운동
결과:
12주 후 초음파: 봉합 부위 안정적 유지
6개월 후 테니스 복귀


케이스 2: 점액낭면측 파열 → 리제네텐
환자: 38세 여성, 필라테스 강사
진단:
MRI: 극상건 점액낭면측 부분파열 (약 35%)
인대 얇아짐 소견
치료:
리제네텐 콜라겐 패치 적용
재생주사 병행
결과:
16주 후 MRI: 인대 두께 증가 확인
필라테스 강의 복귀


케이스 3: 소형 파열 + 젊은 환자 → 골수자극재생술
환자: 32세 남성, 크로스핏
진단:
MRI: 극상건 부분파열 (약 25%)
파열 양상: 가로 파열, 경미
치료:
골수자극재생술 (미세천공)
4세대 재생주사 병행
미세전류치료
결과:
10주 후 초음파: 파열 부위 재생 확인
4개월 후 크로스핏 복귀 (단, 강도 조절)


FAQ: 회전근개 부분파열 치료에 대해 자주 묻는 질문
Q1. 파열이 50%면 반이 찢어진 건가요?
50% 파열"은 인대 두께의 50%가 손상되었다는 의미입니다. 인대가 반으로 뚝 끊어진 것이 아니라, 일부 두께만 손상된 부분파열 상태입니다. 인대의 연속성은 유지되어 있으므로, 적절한 치료로 재생이 가능합니다.
Q2. 부분파열은 전층파열로 진행하나요?
방치하면 진행할 수 있습니다. 특히 관절면측 부분파열은 자연 치유가 어려워 전층파열로 진행 위험이 높습니다. 조기 치료가 중요합니다.
Q3. 축소봉합술과 리제네텐, 둘 다 비수술인가요?
네, 둘 다 비수술(절개 없이) 시술입니다. 관절경 수술과 달리 전신마취나 입원이 필요 없습니다. 국소/부위마취로 당일 시술, 당일 귀가가 가능합니다.
Q4. 제 파열이 어느 쪽인지 어떻게 알 수 있나요?
MRI 또는 초음파 검사로 확인할 수 있습니다. 단, 영상 판독은 전문성이 필요합니다. 플래티넘의원에서는 MRI를 직접 재검토하고, 초음파로 실시간 확인하여 정확한 위치와 양상을 진단합니다.
Q5. 골수자극재생술은 줄기세포 주사와 다른가요?
다릅니다. 골수자극재생술은 환자 본인의 골수에서 자연적으로 줄기세포가 유출되도록 유도하는 방법입니다. 별도로 줄기세포를 채취하거나 배양하지 않습니다. 줄기세포 주사는 외부에서 줄기세포를 채취/배양하여 주입하는 방법으로, 비용과 과정이 다릅니다.
Q6. 60세가 넘으면 골수자극재생술을 못 받나요?
절대적 금기는 아니지만, 효과가 제한적일 수 있습니다. 60세 이상에서는 골수 줄기세포의 양과 질이 저하되어 있으므로, 재생주사 위주의 치료나 다른 방법을 우선 권장합니다. 개인별 상태에 따라 다르므로 진료 시 상담이 필요합니다.
Q7. 수술과 비수술, 어떤 게 더 좋은가요?
적응증이 다릅니다. 부분파열 중 위치와 양상이 비수술에 적합한 경우, 비수술치료가 수술만큼 또는 더 좋은 결과를 보입니다. 그러나 갈래갈래 찢어져 강력한 장력이 필요한 경우, 수술이 더 적합합니다. 정확한 진단 후 결정하는 것이 핵심입니다.
Q8. 치료 후 운동은 언제부터 가능한가요?
시술 종류와 파열 정도에 따라 다르지만, 일반적으로:
일상생활: 1~2주 후
가벼운 운동: 6~8주 후
본격적 운동: 3~6개월 후
담당 의사의 지시에 따라 단계별 복귀를 권장합니다.
Q9. 양쪽 어깨가 다 아픈데, 동시에 치료 가능한가요?
가능합니다. 다만, 양쪽 동시 시술 시 일상생활에 제약이 있을 수 있으므로, 한쪽씩 순차적으로 치료하는 것을 권장하는 경우도 있습니다. 환자 상황에 따라 상담 후 결정합니다.
Q10. 비용은 얼마나 드나요?
시술 종류(축소봉합술, 리제네텐, 골수자극재생술), 병행 치료 여부에 따라 다릅니다. 정확한 비용은 진단 후 안내드립니다. 다만, 관절경 수술 대비 총 비용(시술비 + 회복 기간 + 일상 복귀)을 고려하면 경제적인 경우가 많습니다.
이 장의 핵심
파열 %보다 중요한 것:
1. 파열 위치 - 관절면(내측) vs 점액낭면(외측)
2. 파열 양상 - 가로 vs 세로(갈래갈래)
위치별 치료법:
- 관절면측 파열 → 축소봉합술 (물리적 봉합)
- 점액낭면측 파열 → 리제네텐 (콜라겐 패치)
골수자극재생술:
- 큰 장력 불필요 + 젊은 환자에게 적합
- 미세천공 → 골수 줄기세포 유출 → 자체 재생
- 60세 이상은 줄기세포 양/질 저하로 효과 제한적
50% 파열 = 무조건 수술? NO!
위치와 양상을 보고 결정해야 합니다.
임상 근거
골수 유래 줄기세포(BMSC)의 수와 기능은 나이에 따라 감소하며, 특히 60세 이후 급격히 저하됩니다. 이것이 골수자극 줄기세포 치료가 60세 미만에서 가장 효과적인 이유이며, 연령에 따른 치료법 선택의 근거입니다.
Stolzing A, et al. Age-related changes in human bone marrow-derived mesenchymal stem cells: consequences for cell therapies. Mech Ageing Dev. 2008;129(3):163-173. PMID 18241911 ↗임상 근거
바이오인덕티브 콜라겐 임플란트 증강은 부분파열에서 인대 두께와 구조적 완결성을 유의하게 향상시켰습니다. 골수자극과 콜라겐 패치 병용의 생물학적 근거를 뒷받침합니다.
Thon SG, et al. Bioinductive Collagen Implant Augmentation for Partial-Thickness Rotator Cuff Tears. Orthop J Sports Med. 2021. PMID 33553440
이동규 원장에게 직접 진료 상담 받기
네이버 예약하기이동규 원장
연세대 석사 · 정형외과 전문의 · IBSE 인증 · 특허 4건
수술 전문의 출신 비수술 전문의. 어깨 수술의 한계를 직접 경험하고, 비수술 치료의 가능성을 넓히기 위해 플래티넘의원을 설립했습니다.