관절면 파열인데, 주사로는 안 낫는다고요?
선생님, 저 주사 6개월이나 맞았는데 왜 안 나을까요?
30대 후반의 여성 환자분이 내원하셨습니다. 배드민턴을 즐기시는 분으로, 1년 전부터 오른쪽 어깨에 통증이 시작되었다고 합니다.
처음에 동네 병원에서 MRI 찍으니까 '부분파열'이래요. 그래서 주사치료 받았어요. DNA주사, PDRN주사, 콜라겐주사까지... 맞을 때마다 좀 나아지는 것 같았는데, 운동하면 다시 아프고.
6개월간 총 12회의 주사치료를 받으셨지만, 증상은 반복되었습니다.
마지막에 의사 선생님이 '관절면측 파열이라서 주사로는 한계가 있다, 수술을 고려해봐라'고 하셨어요. 근데 수술은 무서워서...
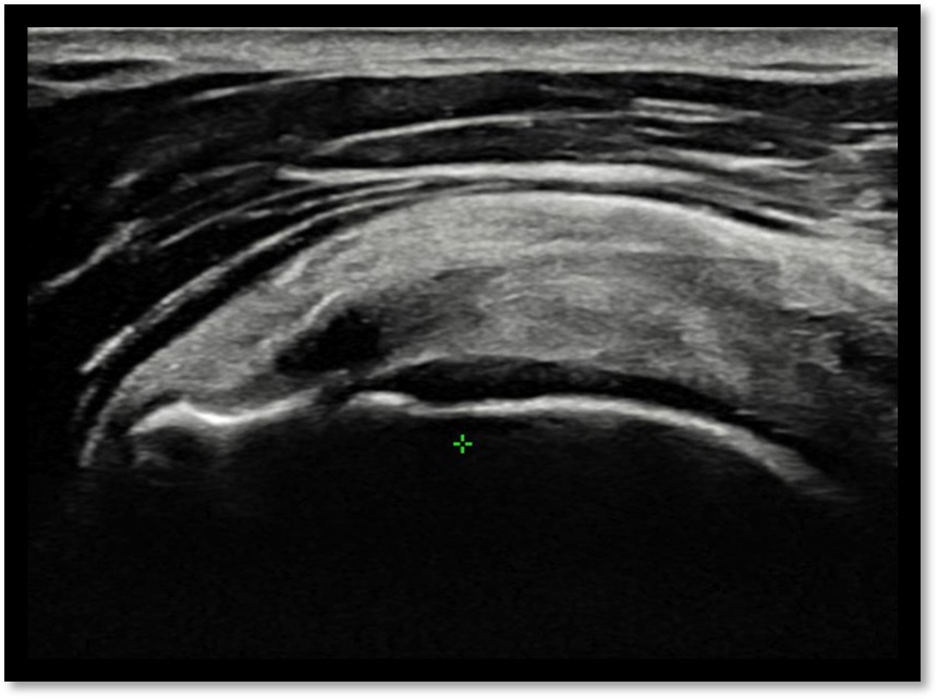
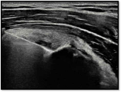
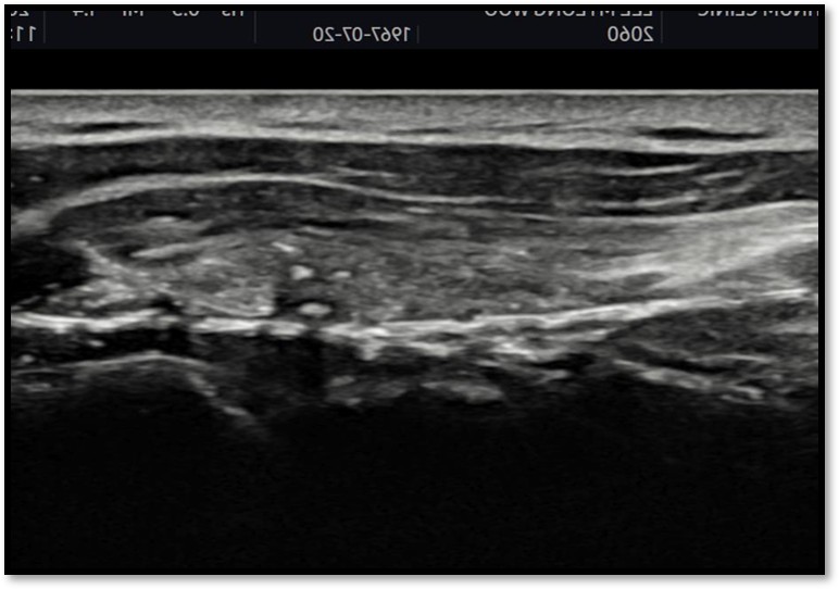
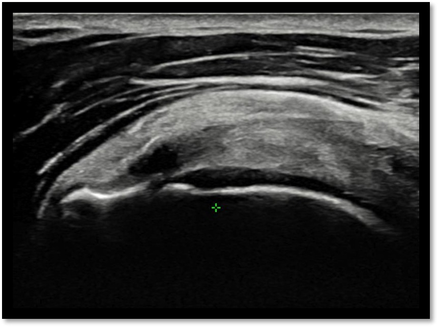
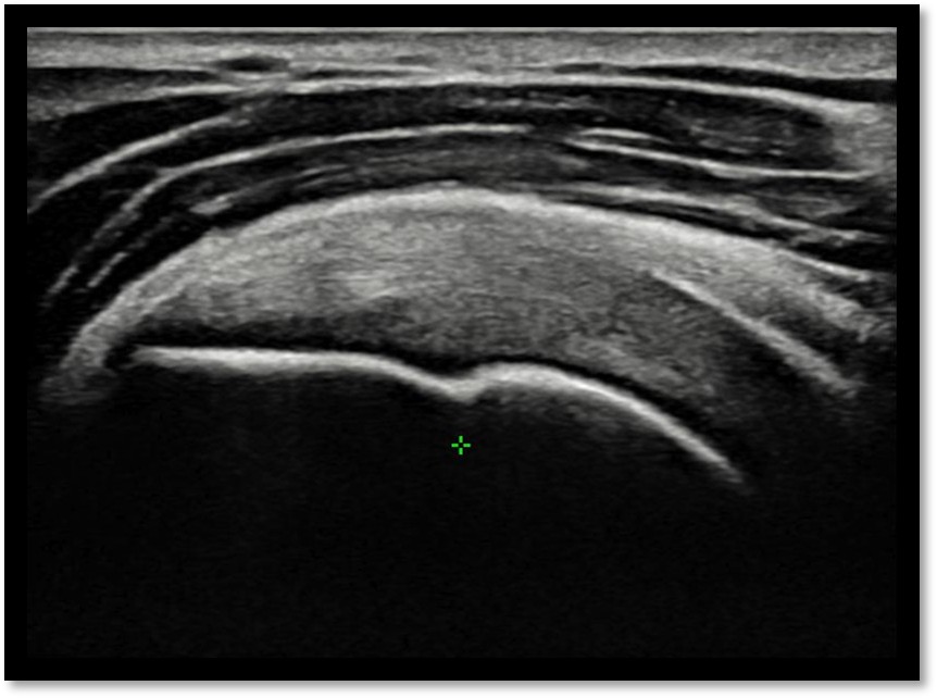
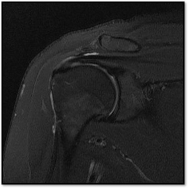
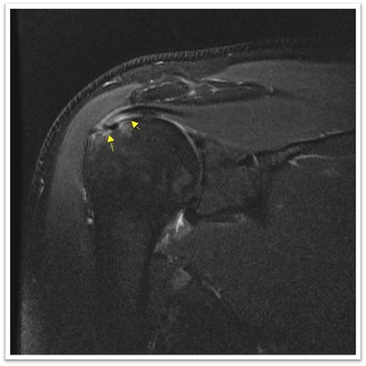
MRI와 초음파를 다시 검토했습니다.
회전근개 극상건의 관절면측(articular-side) 부분파열.
저는 환자분께 말씀드렸습니다.
관절면측 파열은 주사치료만으로는 한계가 있습니다. 하지만 수술이 아닌 다른 방법이 있습니다. 축소봉합술입니다.
관절면측 파열, 왜 주사로 안 나을까?
모든 부분파열이 같은 것이 아닙니다. 어디가 찢어졌느냐에 따라 치료 반응이 완전히 다릅니다.
관절면측 파열의 특수성
관절면측(articular-side) 파열은 회전근개의 아래쪽, 즉 관절에 면한 부분이 손상된 것입니다.

이 부위가 특별히 문제가 되는 이유:
1. 혈류 공급이 부족합니다
관절면측은 혈관 분포가 적은 'critical zone(임계 구역)'에 해당합니다. 혈류가 부족하면:
영양 공급이 부족
치유에 필요한 세포들이 도달하기 어려움
자연 치유가 매우 어려움
2. 인대가 뼈에 붙는 부착부입니다
관절면측은 인대(힘줄)가 뼈에 직접 붙는 부위(footprint)입니다. 이 부위가 손상되면:
인대와 뼈의 연결이 약해짐
부하가 걸릴 때마다 추가 손상 위험
단순히 '채워 넣는' 것만으로는 부족
3. 방치하면 전층파열로 진행합니다
*Journal of Shoulder and Elbow Surgery*에 발표된 연구에 따르면, 관절면측 부분파열 환자의 상당수가 시간이 지나면서 전층파열로 진행합니다.¹
특히 파열이 50% 이상인 경우, 진행 위험이 더 높습니다.
주사치료의 한계
재생주사, 콜라겐주사, 성장인자 주사 등은 분명히 효과적인 치료입니다.
그러나 관절면측 파열에서는 한계가 있습니다.
이유:
주사는 손상 부위에 재생 성분을 공급하는 것
그러나 관절면측은 혈류가 부족하여 재생 환경이 불리
더 중요한 것은, 인대-뼈 부착부가 물리적으로 떨어져 있는 상태
아무리 좋은 성분을 주입해도, 붙어있지 않으면 제대로 치유되지 않음
비유하자면, 떨어진 벽지에 접착제를 뿌리는 것과 같습니다. 접착제(재생 성분)를 아무리 뿌려도, 벽지를 눌러서 붙여주지 않으면 다시 떨어집니다.
축소봉합술이란?
축소봉합술은 이 문제를 해결합니다.
파열 부위를 물리적으로 '축소'시켜, 인대가 뼈에 다시 붙도록 해주는 시술입니다.
핵심 개념: '축소'와 '봉합'
축소(Shrinkage):
파열로 인해 벌어진 인대의 크기를 줄여줌
늘어나거나 떨어진 인대를 원래 위치로 당겨옴
봉합(Suture):
축소된 인대를 봉합사로 고정
뼈에 고정점을 만들어 단단히 부착

'진행을 막는다'는 의미
축소봉합술의 중요한 목적 중 하나는 파열의 진행을 막는 것입니다.
관절면측 부분파열을 방치하면:
파열 범위가 점점 커짐
부분파열 → 전층파열로 진행
나중에는 수술로도 완전 복원이 어려워짐
축소봉합술은:
현재 파열 부위를 봉합하여 안정화
추가 손상을 예방
파열이 더 커지는 것을 막음
조기에 시행할수록 효과가 좋습니다.
플래티넘 축소봉합술의 독창성
플래티넘의원의 축소봉합술은 일반적인 축소봉합술과 근본적으로 다릅니다.
독창성 1: 특수 드릴로 뼈에 미세 터널 형성
일반 축소봉합술은 봉합사를 연부조직(인대)에만 걸어 고정합니다.
문제점:
연부조직은 약함
장력을 버티지 못하고 봉합사가 빠질 수 있음
고정력이 불안정
플래티넘의 방식:
특수 드릴로 뼈에 미세한 터널을 형성
봉합사가 뼈를 관통하여 고정
뼈에 고정점이 생기므로 훨씬 단단함

독창성 2: 체내흡수성 특허 콜라겐 봉합사
일반 봉합사의 한계:
합성 봉합사는 이물 반응 유발 가능
조직 친화성이 떨어짐
시간이 지나도 그대로 남아있음
플래티넘의 특허 콜라겐 봉합사:
콜라겐 성분으로 제작 → 조직 친화적
체내에서 자연 흡수됨
흡수되는 동안 인대 재생을 촉진
매듭 없이도 고정되는 특수 설계

독창성 3: 압도적인 장력
두 가지 독창성(미세 터널 + 콜라겐 봉합사)이 결합되면:
뼈에 고정 + 특수 봉합사 = 압도적인 장력
일반 축소봉합술 대비 훨씬 단단하고 튼튼하게 고정
봉합 후 인대가 제자리에서 견고하게 유지
치유 기간 동안 재파열 위험 최소화

| 구분 | 일반 축소봉합술 | 플래티넘 축소봉합술 |
|---|---|---|
| 고정점 | 연부조직 | 뼈(미세 터널) |
| 봉합사 | 합성 봉합사 | 특허 콜라겐 봉합사 |
| 장력 | 보통 | 매우 강함 |
| 조직 친화성 | 보통 | 우수 |
| 체내 흡수 | X | O |
시술 과정
플래티넘 축소봉합술의 실제 과정을 단계별로 설명드립니다.
Step 1: 마취
상완신경총 차단 마취를 시행합니다.
전신마취 아님 (의식 있는 상태)
어깨와 팔 전체가 마취됨
시술 중 통증 없음

Step 2: 초음파 유도 하 가이드 삽입
초음파로 파열 부위를 실시간 확인하면서 특수 가이드를 삽입합니다.
파열 위치에 정확히 접근
최소 절개 (약 3~5mm)

Step 3: 미세 터널 형성
특수 드릴로 뼈에 미세한 터널을 형성합니다.
인대 부착부 아래 뼈에 터널 생성
봉합사가 통과할 경로 확보

Step 4: 봉합사 삽입 및 통과
특허 콜라겐 봉합사를 파열된 인대에 통과시키고, 미세 터널을 통해 뼈에 고정합니다.
파열 부위를 당겨서 축소
뼈에 단단히 고정


Step 5: 장력 조절 및 고정
적절한 장력으로 인대를 뼈에 밀착시키고 고정합니다.
인대가 뼈에 딱 붙도록 장력 조절
특수 봉합사의 자가 고정 기능으로 매듭 불필요

Step 6: 확인 및 마무리
초음파로 봉합 상태를 확인하고 마무리합니다.
봉합 부위 안정성 확인
시술 부위 드레싱

전체 시술 시간은 약 30~45분입니다.
관절경 수술과의 비교
축소봉합술이 수술보다 좋은가요?
많은 환자분들이 궁금해하시는 부분입니다.
관절경 수술이란?
관절면측 파열의 전통적인 수술적 치료는 관절경적 봉합술입니다.
전신마취 하에 진행
어깨에 3~4개의 작은 구멍을 뚫음
관절경(카메라)을 넣어 내부를 보면서 봉합
비교표
| 항목 | 관절경 수술 | 플래티넘 축소봉합술 |
|---|---|---|
| 마취 | 전신마취 | 부위마취 |
| 입원 | 1~2일 | 당일 귀가 |
| 절개 | 3~4개 (각 1cm) | 1개 (3~5mm) |
| 보조기 | 4~6주 착용 | 불필요 또는 최소 |
| 일상복귀 | 4~6주 | 1~2주 |
| 운동복귀 | 4~6개월 | 2~3개월 |
| 흉터 | 있음 | 거의 없음 |
| 비용 | 높음 | 상대적 저렴 |
어떤 것을 선택해야 할까?
축소봉합술이 적합한 경우:
부분파열 (전층파열 아님)
파열 크기가 크지 않음
조직 상태가 양호함
빠른 일상 복귀가 필요함
관절경 수술이 더 적합한 경우:
전층파열(완전파열)
파열 크기가 큼
조직이 심하게 손상됨
여러 구조물 동시 치료 필요
플래티넘의원에서는 정확한 진단 후, 환자 상태에 맞는 최적의 치료를 권해드립니다.
시술 후 관리
시술 당일~1주
시술 부위 냉찜질
팔 사용 최소화 (간단한 일상은 가능)
처방된 약 복용
1~2주
경과 확인 진료
가벼운 일상생활 시작
간단한 스트레칭 시작
2~6주
점진적 활동 증가
재활 운동 시작
어깨 가동범위 회복
6주 이후
대부분 일상생활 완전 복귀
가벼운 운동 가능
본격적 운동은 2~3개월 후
실제 케이스
케이스 1: 관절면측 부분파열 (40% 파열)
환자: 35세 남성, 헬스 트레이너
진단:
MRI: 극상건 관절면측 부분파열 (약 40%)
6개월간 주사치료 효과 없음
치료:
플래티넘 축소봉합술
시술 시간: 35분
결과:
2주 후: 일상생활 복귀
6주 후: 가벼운 운동 시작
3개월 후: 헬스 트레이닝 복귀
12주 초음파: 봉합 부위 안정적 유지


케이스 2: 관절면측 부분파열 (55% 파열)
환자: 42세 여성, 테니스 동호회
진단:
MRI: 극상건 관절면측 부분파열 (약 55%)
타 병원에서 수술 권유받음
치료:
플래티넘 축소봉합술
시술 시간: 40분
결과:
3주 후: 일상생활 완전 복귀
8주 후: 가벼운 라켓 스윙 시작
4개월 후: 테니스 복귀 (강도 조절)


케이스 3: 진행 중인 파열 조기 차단
환자: 28세 남성, 야구 동호회 투수
진단:
MRI: 극상건 관절면측 부분파열 (약 30%)
최근 3개월간 통증 악화 추세
치료:
플래티넘 축소봉합술 (조기 시행)
파열 진행 차단 목적
결과:
6주 후: 캐치볼 시작
3개월 후: 투구 연습 복귀
1년 후 MRI: 파열 진행 없음, 안정적 유지


FAQ: 축소봉합술에 대해 자주 묻는 질문
Q1. 축소봉합술은 수술인가요, 시술인가요?
비수술 시술입니다. 전신마취, 입원, 관절경 삽입이 필요 없습니다. 부위마취 하에 최소 절개(3~5mm)로 진행하며, 당일 귀가가 가능합니다.
Q2. 모든 부분파열에 축소봉합술이 필요한가요?
아닙니다. 관절면측 파열에 주로 적용됩니다. 점액낭면측 파열이나 경미한 파열은 재생주사나 리제네텐으로 치료 가능합니다. 정확한 진단 후 적합한 치료를 결정합니다.
Q3. 시술 후 보조기를 착용해야 하나요?
대부분의 경우 보조기 착용이 필요 없거나 최소입니다. 관절경 수술은 4~6주 보조기 착용이 필요하지만, 축소봉합술은 고정력이 강해 보조기 없이도 안정적입니다. 개인 상태에 따라 다를 수 있습니다.
Q4. 일반 축소봉합술과 뭐가 다른가요?
핵심 차이는 고정 방식입니다. 일반 축소봉합술은 연부조직에만 봉합사를 걸지만, 플래티넘은 뼈에 미세 터널을 만들어 고정합니다. 또한 특허 콜라겐 봉합사를 사용하여 장력과 조직 친화성이 우수합니다.
Q5. 봉합사가 몸에 남아있나요?
플래티넘의 특허 콜라겐 봉합사는 체내에서 자연 흡수됩니다. 일정 기간(수개월) 후 봉합사는 흡수되고, 그동안 인대가 뼈에 단단히 붙게 됩니다.
Q6. 실패하면 어떻게 되나요?
드물지만 봉합이 불충분한 경우, 추가 시술이나 관절경 수술을 고려할 수 있습니다. 그러나 플래티넘의 축소봉합술은 강력한 고정력으로 성공률이 높습니다. 또한 조기에 시행할수록 성공률이 높으므로, 진단 후 빠른 치료를 권장합니다.
Q7. 비용은 얼마인가요?
파열 크기, 상태에 따라 다릅니다. 정확한 비용은 진료 후 안내드립니다. 관절경 수술 대비 입원비, 마취비, 회복 기간을 고려하면 총 비용이 저렴한 경우가 많습니다.
Q8. 나이 제한이 있나요?
특별한 나이 제한은 없습니다. 오히려 고령 환자에게는 전신마취 수술보다 부위마취 축소봉합술이 더 안전합니다. 다만, 조직 상태가 너무 약하거나 근육 위축이 심한 경우에는 효과가 제한적일 수 있습니다.
Q9. 재발할 수 있나요?
적절한 재활과 관리를 하면 재발 위험은 낮습니다. 그러나 손상을 유발한 동작이나 습관이 반복되면 재손상 가능성이 있습니다. 시술 후 재활 운동과 생활 습관 교정이 중요합니다.
Q10. 축소봉합술 후에도 운동할 수 있나요?
네, 가능합니다. 회복 후에는 이전과 같이 운동을 즐기실 수 있습니다. 다만, 단계적 복귀가 중요합니다. 담당 의사의 지시에 따라 점진적으로 강도를 높여가시기 바랍니다.
이 장의 핵심
관절면측 파열의 특수성:
- 혈류 부족 → 자연 치유 어려움
- 인대-뼈 부착부 → 주사만으로 한계
- 방치 시 전층파열로 진행
축소봉합술이란:
- 파열 부위를 물리적으로 축소
- 인대를 뼈에 다시 부착
- 파열 진행을 막는다
플래티넘 축소봉합술의 독창성:
- 미세 터널: 뼈에 고정점 확보
- 특허 콜라겐 봉합사: 체내흡수, 조직친화적
- 압도적 장력: 일반 축소봉합술 대비 훨씬 튼튼
관절면측 파열 + 주사로 안 나을 때
축소봉합술을 고려하십시오.
참고문헌
Weber SC. Arthroscopic debridement and acromioplasty versus mini-open repair in the treatment of significant partial-thickness rotator cuff tears. *Arthroscopy.* 1999;15(2):126-131.
Strauss EJ, et al. The arthroscopic management of partial-thickness rotator cuff tears: a systematic review of the literature. *Arthroscopy.* 2011;27(4):568-580.
Shin SJ. A comparison of 2 repair techniques for partial-thickness articular-sided rotator cuff tears. *Arthroscopy.* 2012;28(1):25-33.
이동규 원장에게 직접 진료 상담 받기
네이버 예약하기이동규 원장
연세대 석사 · 정형외과 전문의 · IBSE 인증 · 특허 4건
수술 전문의 출신 비수술 전문의. 어깨 수술의 한계를 직접 경험하고, 비수술 치료의 가능성을 넓히기 위해 플래티넘의원을 설립했습니다.