"뼈가 자라서 수술해야 한다는데, 정말인가요?"
40대 중반의 남성 환자분이 진료실을 찾아오셨습니다. 직업은 치과의사였습니다.
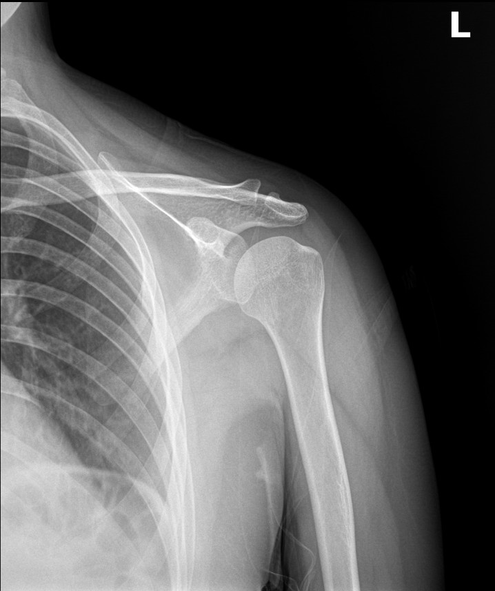
원장님, 다른 병원에서 견봉뼈가 자라나서 견봉성형술을 해야 한다고 했어요. 어깨뼈를 깎아내는 수술이라고... 정말 수술해야 하는 건가요?
저는 먼저 환자분의 직업과 생활 습관에 대해 여쭤봤습니다.
하루에 몇 시간 정도 진료하세요?
보통 8~10시간이요. 구부리고 있는 시간이 길죠.
이학적검사를 시행했습니다. 그리고 환자분의 자세를 관찰했습니다.
심한 라운드숄더(둥근 어깨)였습니다.

영상 검사를 다시 확인했습니다. 견봉뼈는 정상 범위였습니다.
진짜 원인은 뼈가 아니라, '자세'였습니다.

충돌증후군이 원인이 아니라, 잘못된 자세가 원인이었습니다
| 다른 병원 진단 | 플래티넘의원 진단 |
|---|---|
| 견봉뼈가 자람 | 견봉뼈 정상 |
| 충돌증후군 | 충돌증후군 (맞음) |
| 원인: 뼈 | 원인: 잘못된 자세 (라운드숄더) |
| 치료: 견봉성형술 (수술) | 치료: 자세 교정 + 운동치료 |
충돌증후군이 있다는 진단 자체는 맞았습니다. 그러나 왜 충돌이 발생하는지, 그 원인을 정확히 파악하지 못했습니다.
이 환자분은 어떻게 치료했을까요?
1) 당장의 통증 완화: 주사치료
통증이 있는 상태에서는 바른 자세로 운동하는 것 자체가 불가능합니다. 먼저 주사치료로 염증과 통증을 가라앉혔습니다.
2) 근본적인 원인 해결: 자세 교정 + 운동치료
물리치료사가 진행하는 필라테스 기반의 자세 교정 운동을 처방했습니다.

결과: 꾸준한 운동과 자세 교정으로 충돌증후군이 더 이상 발생하지 않았습니다. 수술 없이 해결된 케이스였습니다.
수술 전문의가 비수술 병원을 연 이유
저는 플래티넘의원을 열기 전, 어깨 수술을 전문으로 하는 수술 전문 병원의 대표원장이었습니다.
수술을 하면 할수록 깨달은 것이 있었습니다.
수술은 50%일 뿐이다.
수술 자체는 엔지니어와 같습니다. 구조적인 문제를 물리적으로 고치는 것입니다. 그러나 나머지 50%는 재활에 있었습니다.
수술이 아무리 잘 되어도, 재활이 제대로 되지 않으면 환자는 일상으로 돌아가지 못합니다. 대학병원에서 수술만 집중적으로 할 때는 미처 몰랐던 부분이었습니다.
재활의 중요성을 깨닫고, 스포츠재활센터를 열다
저는 미국과 호주로 교육을 다니며 최신의 스포츠재활치료를 배워왔습니다. 그리고 국내에서는 처음으로 EXOS의 메소드를 접목하여, 고유수용성 재활운동에 근간을 둔 스포츠재활센터를 오픈했습니다.

당시 국내 물리치료의 현실은 도수치료에 집중되어 있었습니다. 저는 물리치료사들이 운동치료도 할 수 있도록 수많은 교육을 진행했습니다.
그런데 수술이 필요 없는 환자가 더 많았습니다
꼭 수술이 필요하지 않을 정도의 환자가, 수술로 고칠 수 있는 환자보다 훨씬 많았습니다.
이 환자들이 제대로 된 진단과 적절한 치료를 받지 못하고, 마취통증의학과를 전전하며 통증주사만 맞고 있었습니다. 근본적인 원인은 치료하지 않은 채, 증상 완화에만 시간과 비용을 쓰고 있었습니다.
그래서 수술 전문의였음에도 불구하고, 비수술을 전문으로 하는 병원을 열게 되었습니다.
플래티넘의원이 다른 점
1) 수술 + 비수술 + 재활, 모두를 섭렵한 전문의
수술을 직접 해본 의사이기에, 어깨 내부 구조를 입체적으로 이해합니다. 재활센터를 운영해본 의사이기에, 시술 후 어떻게 회복해야 하는지를 압니다.
2) 12주 온라인 재활운동 프로토콜 (무료 제공)
전국에서 환자분들이 오시기 때문에, 시술 후 재활을 위해 매번 병원에 오시기 어렵습니다. 카카오톡을 통해 운동 영상을 보내드리고, 시술한 케이스와 환자 상태에 맞춰 맞춤형으로 재활운동을 안내해드립니다. 모든 시술 환자분께 무료로 제공하고 있습니다.

3) 진단에 집중, 그림으로 설명
저희 병원은 자체 진단에 가장 많은 시간을 투자합니다. 환자분이 스스로 무엇이 불꽃(증상)이고, 무엇이 불씨(근본 원인)인지 정확히 이해할 수 있을 때까지 그림으로 그려가며 설명드립니다.

4) 최신 의료 트렌드 선도, 의료 특허
플래티넘의원은 가장 최신의 비수술적 의료 트렌드를 이끌고 있습니다. 석회분쇄흡입술, 축소봉합술 등 관련 의료 특허를 보유하고 있으며, 여러 병원에서 좋은 치료법을 배워갈 수 있도록 교육도 진행하고 있습니다.
좋은 병원을 고르는 기준
1) 진단에 시간을 투자하는가?
5분 만에 "수술하세요"라고 하는 병원보다, 왜 아픈지 원인을 끝까지 파악하려는 병원이 좋습니다.
2) 환자가 이해할 수 있게 설명하는가?
그냥 이거 하세요"가 아니라, 왜 이 치료가 필요한지, 다른 옵션은 무엇인지 설명해주는 병원이 좋습니다.
3) 수술과 비수술, 양쪽 모두를 아는가?
수술만 아는 의사는 수술을 권하고, 비수술만 아는 의사는 비수술을 권합니다. 둘 다 알아야 환자에게 맞는 치료를 권할 수 있습니다.
4) 시술 후 재활까지 챙기는가?
시술은 시작일 뿐입니다. 재활까지 책임지는 병원이 진짜 좋은 병원입니다.
이 장의 핵심
- ✓좋은 병원은 진단에 집중합니다.
- ✓좋은 병원은 환자가 이해할 때까지 설명합니다.
- ✓영상에 보이는 것만 보지 않고, 왜 그런 문제가 생겼는지 원인까지 파악합니다.
- ✓증상만 치료하지 않고, 근본 원인을 함께 치료합니다.
- ✓시술로 끝내지 않고, 재활까지 책임집니다.
이동규 원장에게 직접 진료 상담 받기
네이버 예약하기이동규 원장
연세대 석사 · 정형외과 전문의 · IBSE 인증 · 특허 4건
수술 전문의 출신 비수술 전문의. 어깨 수술의 한계를 직접 경험하고, 비수술 치료의 가능성을 넓히기 위해 플래티넘의원을 설립했습니다.