铂金整形外科诊所
治疗实绩
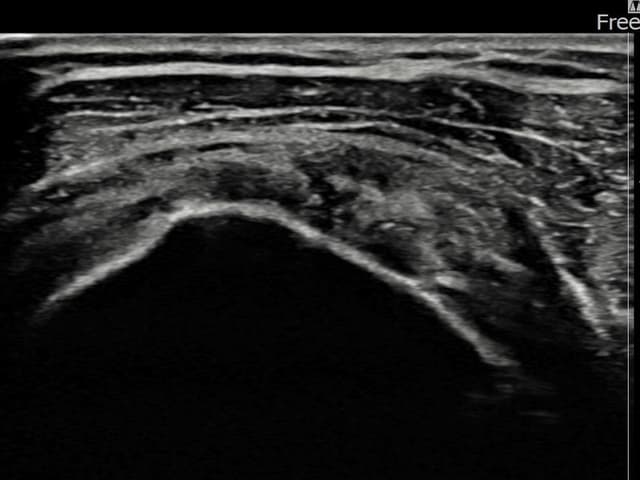
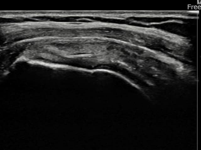
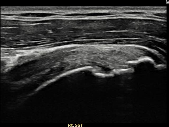
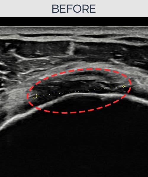
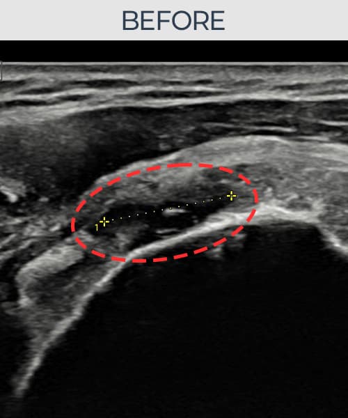
不是渲染图,而是实际患者的超声和X线对比。 请确认非手术治疗达到的真实效果。
※ 所有病例均经患者同意后发布。在相同条件下拍摄。个人差异可能存在,不保证相同效果。在进行任何医疗处置前,请与医生充分协商。


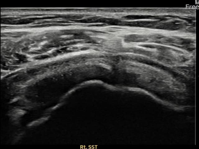
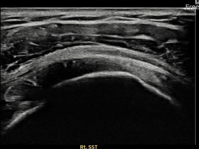
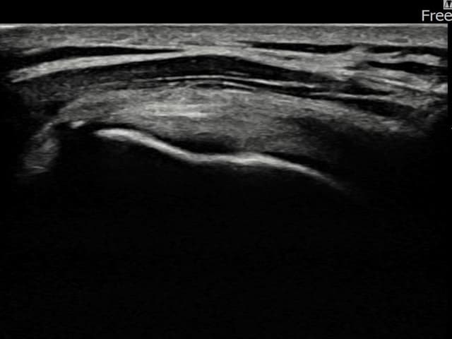
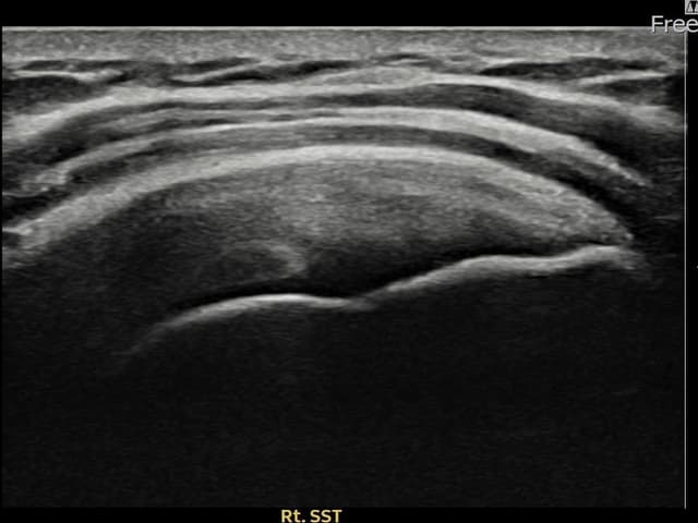
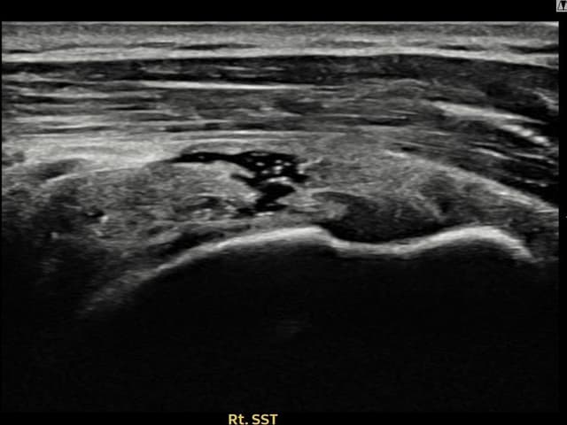
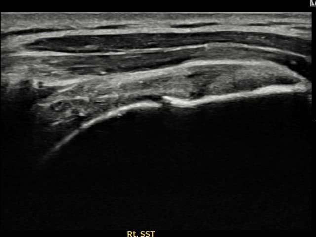
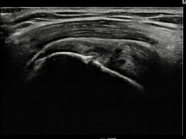
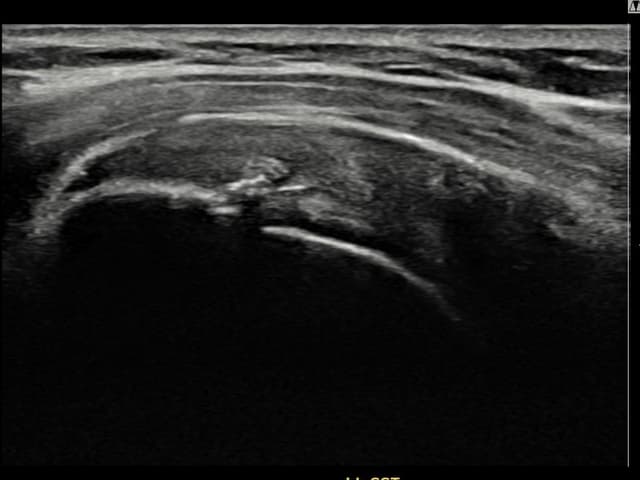
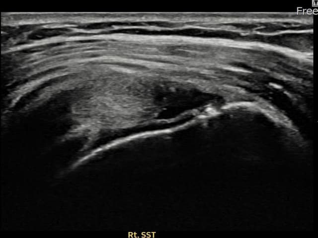
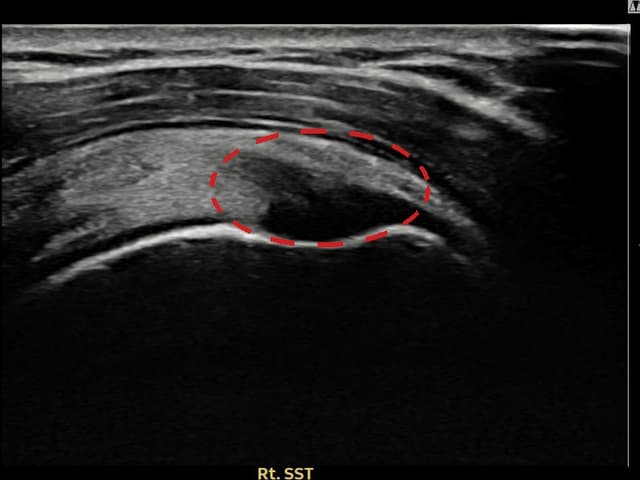
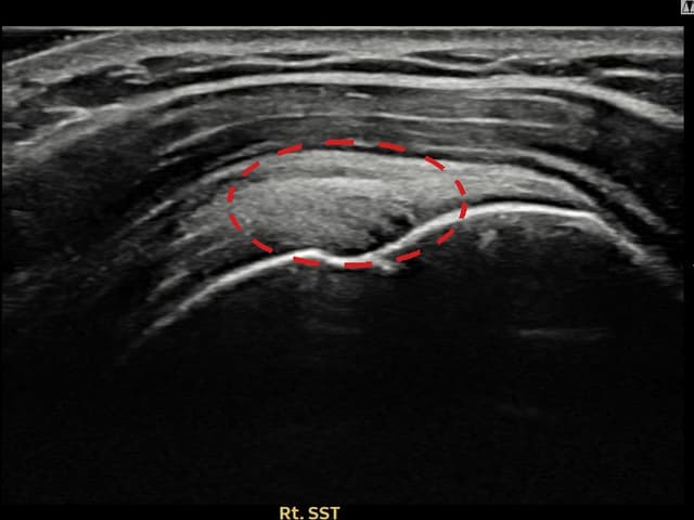
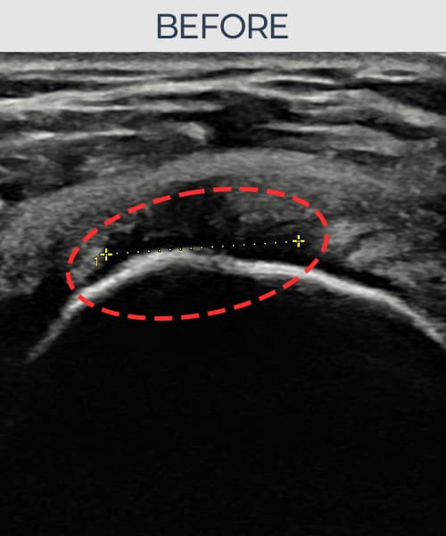
右侧 冈上肌腱 石灰化肌腱炎
14mm × 10mm


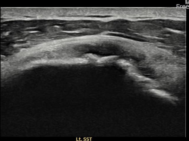
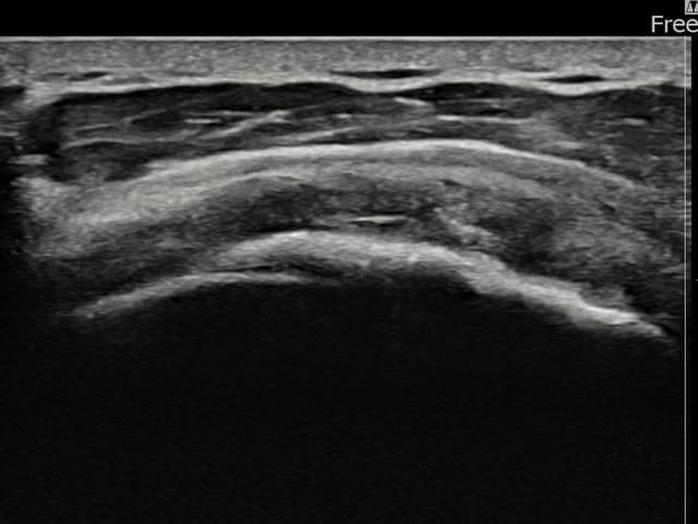
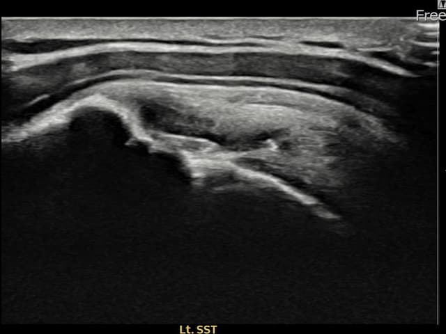
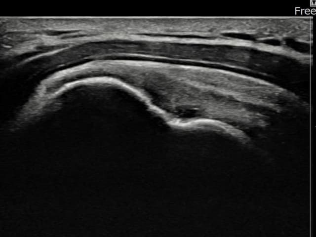
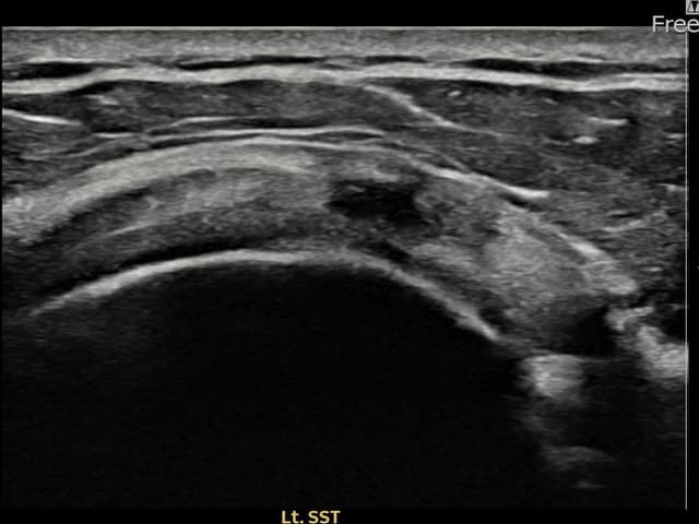
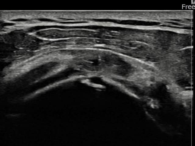
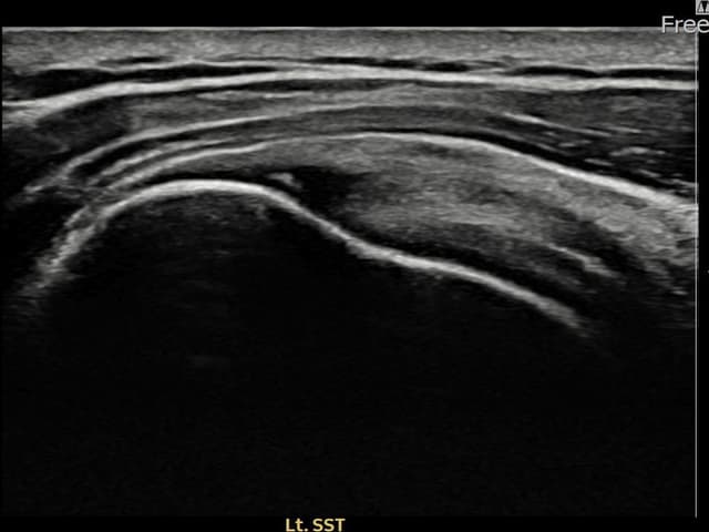
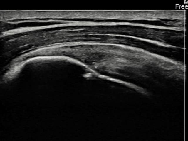
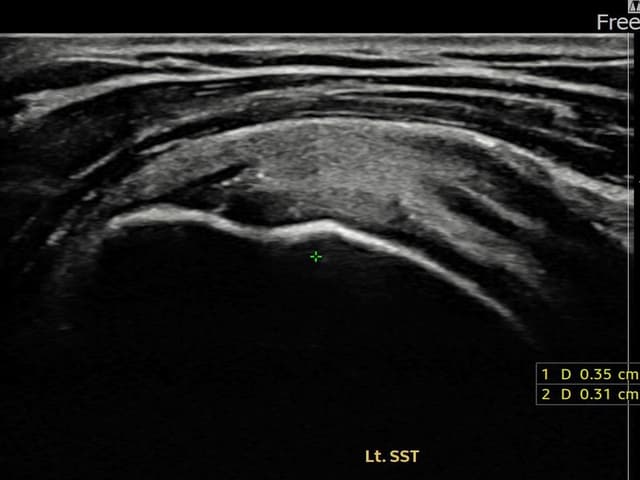
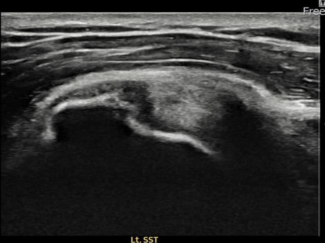
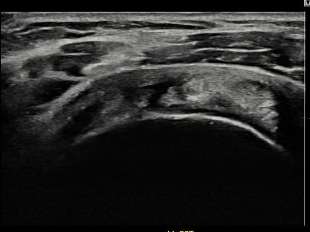
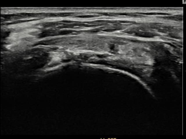
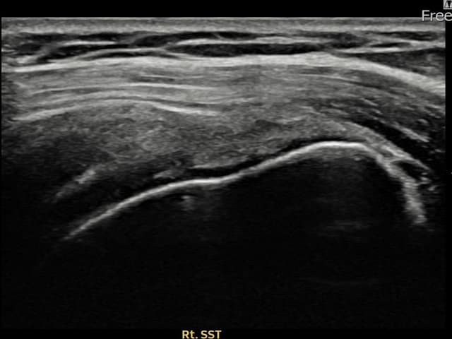
左侧 冈上肌腱 石灰化肌腱炎
9mm × 7mm


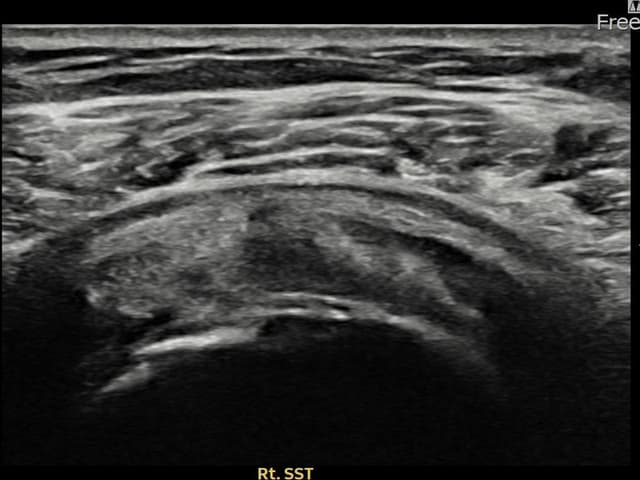
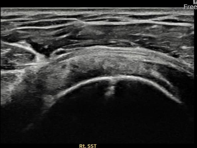
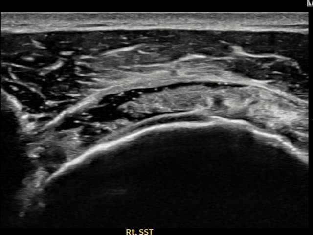
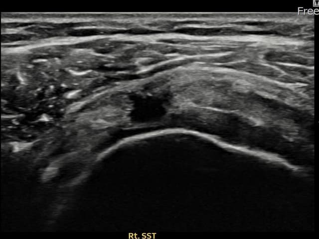
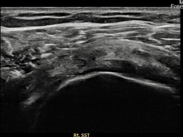
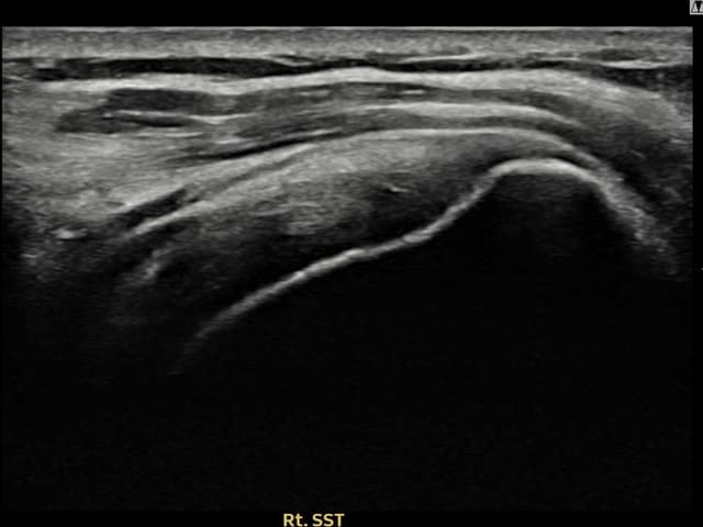
右侧 冈上肌腱 石灰化肌腱炎
13mm × 9mm


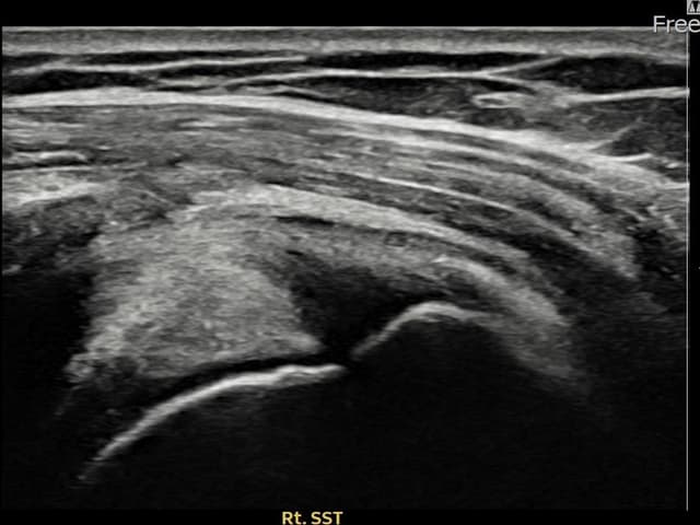
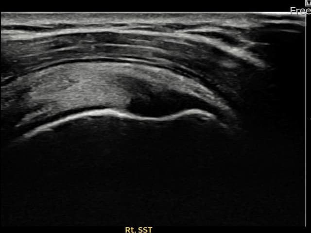
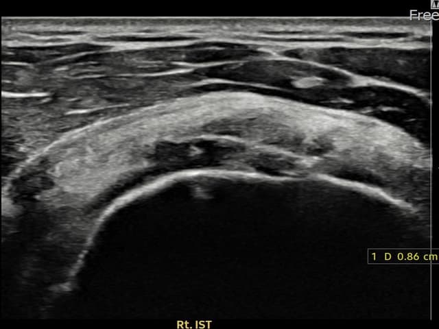
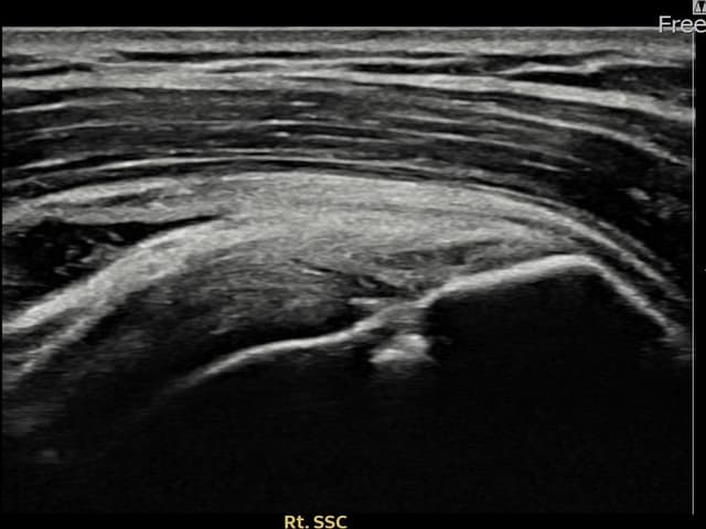
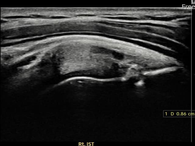
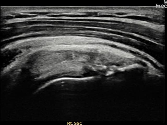
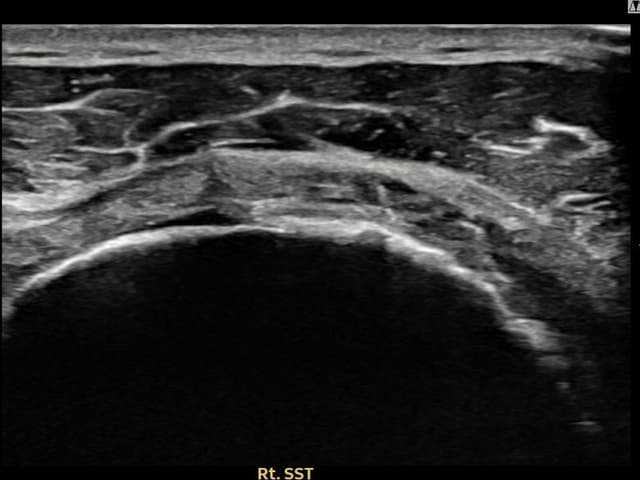
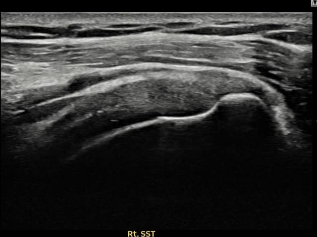
右侧 冈上肌腱 石灰化肌腱炎
10mm × 7mm


左侧 冈上肌腱 石灰化肌腱炎
16mm × 11mm


左侧 冈上肌腱 石灰化肌腱炎
11mm × 8mm


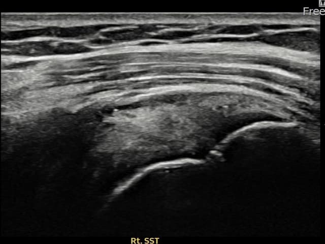
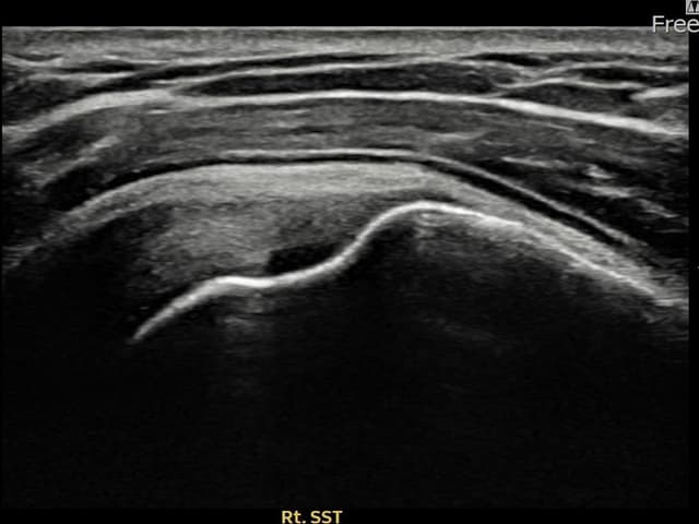
右侧 冈上肌腱 石灰化肌腱炎
10mm × 7mm


右侧 冈上肌腱 石灰化肌腱炎
13mm × 9mm


左侧 冈上肌腱 石灰化肌腱炎
18mm × 13mm


右侧 冈上肌腱 石灰化肌腱炎
15mm × 10mm


右侧 冈上肌腱 石灰化肌腱炎
17mm × 12mm


右侧 冈上肌腱 石灰化肌腱炎
13mm × 9mm


左侧 冈上肌腱 石灰化肌腱炎
15mm × 11mm


右侧 冈上肌腱 石灰化肌腱炎
14mm × 10mm


右侧 冈上肌腱 石灰化肌腱炎
11mm × 8mm


右侧 어깨 冈上肌腱 石灰化肌腱炎
13mm × 9mm


右侧 冈上肌腱 石灰化肌腱炎
약 12mm × 9mm


右侧 冈上肌腱 石灰化肌腱炎
약 15mm × 10mm


左侧 冈上肌腱 광범위 部分撕裂
15mm × 6mm (肌腱厚度约70%缺损)


左侧 冈上肌腱 부착부 광범위 部分撕裂
13mm × 5mm (肌腱厚度约65%缺损)


右侧 冈上肌腱 关节面侧部分撕裂
7mm × 3mm (肌腱厚度约30%缺损)


右侧 冈上肌腱 滑囊面侧部分撕裂
8mm × 4mm (肌腱厚度约35%缺损)


右侧 冈上肌腱 关节面侧部分撕裂
9mm × 4mm (肌腱厚度约38%缺损)


右侧 冈上肌腱 附着部部分撕裂
10mm × 4mm (肌腱厚度约42%缺损)


左侧 冈上肌腱 关节面侧部分撕裂
8mm × 3mm (肌腱厚度约33%缺损)


左侧 冈上肌腱 附着部部分撕裂
9mm × 4mm (肌腱厚度约38%缺损)


右侧 冈下肌腱 关节面侧部分撕裂
7mm × 3mm (肌腱厚度约32%缺损)


右侧 冈下肌腱 附着部部分撕裂
8.6mm × 4mm (肌腱厚度约45%缺损)


左侧 冈上肌腱 关节面侧部分撕裂
3.5mm × 3.1mm (부분파열)


左侧 冈上肌腱 附着部部分撕裂
5mm × 3mm (肌腱厚度约25%缺损)


左侧 冈上肌腱 部分撕裂
7mm × 3mm (肌腱厚度约30%缺损)


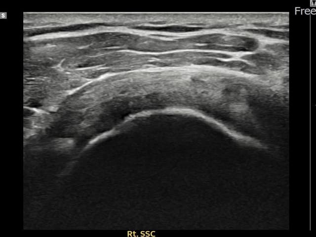
右侧 견갑하근건 关节面侧部分撕裂
7mm × 3mm (肌腱厚度约28%缺损)


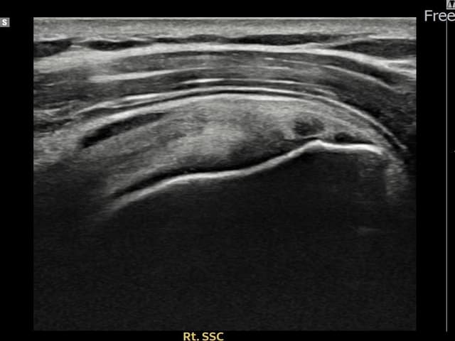
右侧 견갑하근건 部分撕裂
8mm × 3mm (肌腱厚度约32%缺损)


左侧 冈上肌腱 附着部部分撕裂
11mm × 4mm (肌腱厚度约44%缺损)


右侧 冈上肌腱 관절면측 광범위 部分撕裂
16mm × 5mm (肌腱厚度约75%缺损)


右侧 冈上肌腱 部分撕裂 + 건내 석회화
9mm × 4mm (肌腱厚度约38%缺损)


左侧 冈上肌腱 滑囊面侧部分撕裂
14mm × 7mm (肌腱厚度约65%缺损)


左侧 冈上肌腱 关节面侧部分撕裂
8mm × 3mm (肌腱厚度约30%缺损)


右侧 冈上肌腱 关节面侧撕裂进展型
12mm × 7mm (肌腱厚度约55%缺损)


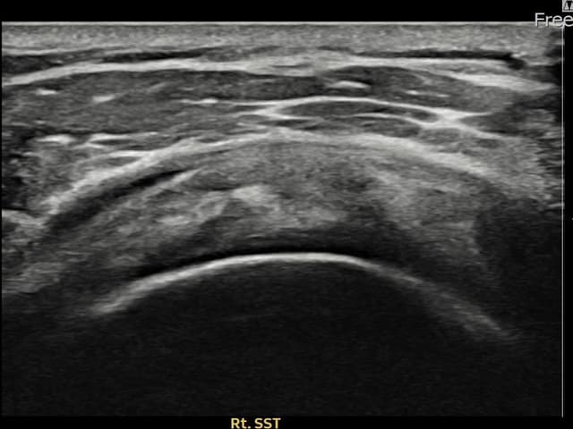
右侧 冈上肌腱 关节面侧部分撕裂
12mm × 4mm (肌腱厚度约48%缺损)


右侧 冈上肌腱 关节面侧部分撕裂
10mm × 4mm (肌腱厚度约40%缺损)


右侧 冈上肌腱 滑囊面侧部分撕裂
13mm × 6mm (肌腱厚度约62%缺损)


右侧 冈上肌腱 关节面侧部分撕裂
7mm × 4mm (肌腱厚度约42%缺损)


旋转肌腱袖 部分撕裂 + 韧带损伤
11mm × 6mm (肌腱厚度约58%缺损)


旋转肌腱袖 关节面侧撕裂
9mm × 5mm (肌腱厚度约50%缺损)


旋转肌腱袖 部分撕裂
6mm × 3mm (肌腱厚度约35%缺损)


旋转肌腱袖 关节面侧部分撕裂
8mm × 5mm (肌腱厚度约45%缺损)


旋转肌腱袖 关节面侧部分撕裂
14mm × 7mm (肌腱厚度约68%缺损)