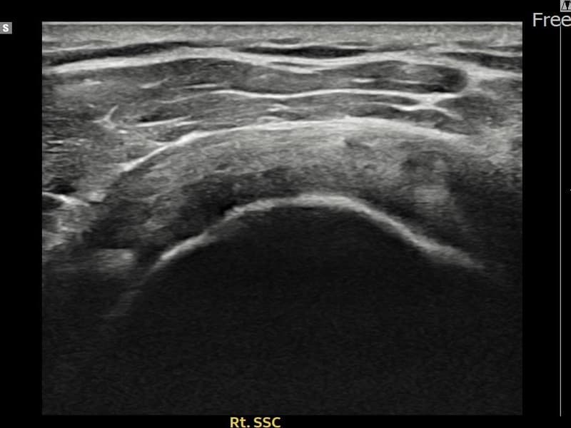
超声确认右侧 견갑하근건 关节面侧部分撕裂(7mm × 3mm (肌腱厚度约28%缺损))。缩小缝合术后肌腱连续性恢复,患者回归正常生活。
[期间:24.03.04~24.05.10]
术前

术后

治疗结果
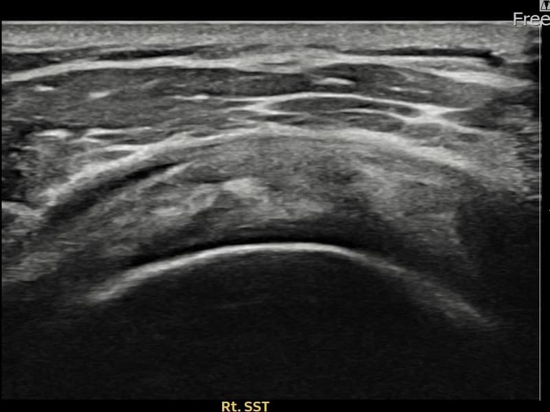
术前超声确认右侧 견갑하근건 关节面侧部分撕裂,右侧冈上肌腱回声不连续伴肌腱缺损(7mm × 3mm (肌腱厚度约28%缺损))。术后超声显示撕裂部位充满再生组织,肌腱连续性恢复,回声模式正常化。
院长点评
该患者持续肩痛。详细超声检查确认右侧 견갑하근건 关节面侧部分撕裂(缺损:7mm × 3mm (肌腱厚度约28%缺损))。在超声引导下实施非手术缩小缝合术。术后佩戴支具约4-6周,随后进行分阶段康复锻炼。随访超声确认肌腱连续性恢复、结构稳定,患者顺利回归日常生活。
※ 经患者同意后发布。在相同条件下拍摄。个人差异可能存在,副作用亦有可能——在进行治疗前请与医生充分协商。