石灰沈着性腱炎 破砕吸引術
肩の石灰を1回で除去 — 手術不要
「石灰が硬すぎて除去できない」と言われましたか?それは方法の問題であって診断ではありません。 プラチナムの第3世代破砕吸引術はどんな硬さの石灰も1回で除去します。
実際の患者様のケース
“他院で3回施術を受けましたが、石灰がまだ残っています。毎回『少しずつ溶けている』と言われましたが、X線はほとんど変わっていません。石灰が硬すぎて関節鏡手術が必要だと言われました。本当に手術しかないのでしょうか?”
— 40代前半の女性患者様、プラチナムクリニック初診時
結論:石灰が硬くて除去できない?それは方法の問題です。
第3世代破砕吸引術は石灰を物理的に破砕するため、硬さに関わらず除去可能です。 第1〜2世代治療が失敗した方にも有効です。
なぜ石灰が生じ、いつ最も痛いのか?
石灰沈着性腱炎は単に石灰が溜まるだけではありません。形成期・静止期・吸収期の3段階で進行し、 それぞれ異なる痛みのパターンと治療アプローチがあります。
形成期
痛みは少ない腱細胞の壊死とともに石灰が沈着し始めます。まだ軟らかくペースト状。X線では淡く見えるか見えないことも。
この段階では衝撃波や注射療法がまだ有効な場合があります。
静止期
間欠的な鈍痛石灰がチョーク状に硬化し、X線で白い塊としてはっきり確認できます。この段階が最も長く続く場合があります。
硬化した石灰は第2世代のバーボタージュでは除去困難です。第3世代の破砕吸引術が必要です。
吸収期
激痛(夜間痛を含む)石灰が自然吸収を始めます。血管が侵入して石灰が崩れ、強烈な炎症が起こります。この段階の痛みは救急レベルになることがあります。
この段階では石灰が液状化し吸引が可能です。痛みを和らげるための迅速な施術が必要です。
石灰除去法の3世代比較
ミキサーで砕いてから吸引するイメージ — どんなに硬くても、砕けば除去できます。
| 方法 | 原理 | 硬い石灰 | 施術回数 | 腱へのリスク |
|---|---|---|---|---|
| 第1世代:ラベージ(洗浄) | 生理食塩水で洗い流す | ✗ 不可 | 複数回 | あり |
| 第2世代:バーボタージュ | 溶解・吸引 | △ 困難 | 2〜4回 | あり |
| 第3世代:破砕吸引術(プラチナム) プラチナム | 破砕 → 吸引+洗浄 | ✓ 可能 | 1回 | 最小化 |
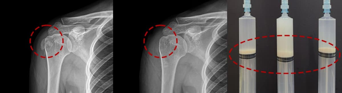
施術前後のX線比較
硬化した石灰も1回のセッションで完全除去。実際の患者様のX線画像です。

X線で肩腱に白い石灰の塊がはっきりと確認できます。

1回の破砕吸引術で石灰が完全に除去されました。
当日施術 · 当日退院
術前診断
X線・超音波・MRIで石灰の位置・大きさ・密度を確認。石灰の段階(形成期/静止期/吸収期)を判定します。
麻酔
腕神経叢ブロック(BPB)麻酔を行います。全身麻酔不要で、患者様は意識がある状態です。麻酔の効果を確認してから施術を開始します。
破砕・吸引
超音波ガイド下で専用の破砕器具を使い石灰を物理的に破砕します。強力な吸引で破砕した石灰を除去し、洗浄します。
確認・退院
超音波で石灰除去を確認。施術時間の目安は30〜60分。当日退院。翌日から軽い日常活動が可能です。
石灰破砕吸引術 Q&A
石灰沈着性腱炎とはどのような疾患ですか?+
衝撃波治療とどう違いますか?+
施術は痛いですか?+
石灰が再発することはありますか?+
入院は必要ですか?+
論文で裏付けられた効果
参考文献
Arthroscopy誌(2020年, Louwerens JKG et al.)の無作為化対照試験(RCT)では、 超音波ガイド下ニードリング(UGN)と高エネルギー体外衝撃波(ESWT)を比較した結果、石灰除去効率はUGNが有意に優れていました (石灰サイズ減少:13mm vs 6.7mm、P < .001)。 追加治療が必要な率もUGNで低い結果でした(22% vs 41%)。
Louwerens JKG, et al. Comparing Ultrasound-Guided Needling vs High-Energy ESWT. Arthroscopy. 2020;36(7). PMID 32114063 ↗参考文献
Clinical Shoulder and Elbow誌(2022年, Lee JP et al.)の研究では、 超音波ガイド下バルボタージュを行った石灰沈着性腱炎患者36名のうち、35名(97%)が手術なしで症状改善しました。 6週後のVAS・ASES・Constant各スコアが有意に改善し、合併症はゼロでした。
Lee JP, et al. Ultrasound-guided barbotage for calcific tendinitis. Clin Shoulder Elb. 2022;25(2). PMID 35698783 ↗